J Korean Neurol Assoc > Volume 42(4); 2024 > Article
급성 실어증으로 발현한 신경세포핵내봉입체병

Abstract

Neuronal intranuclear inclusion disease (NIID) is a rare disorder with slowly progressive neurodegeneration. Major clinical presentation is dementia, but some patients can have episodic symptoms. This is a rare case of NIID presented with acute aphasia. A 62-years-old male visited emergency room presenting with aphasia. On brain magnetic resonance imaging, a U-shaped diffusion high signal intensity lesion in bilateral frontal corticomedullary junction was observed. A skin biopsy showed intranuclear cytoplasmic inclusion bodies, so he was diagnosed as NIID.

신경세포핵내봉입체병(neuronal intranuclear inclusion disease, NIID)은 신경세포에 호산유리질핵내봉입체(eosinophilic hyaline intranuclear inclusions)가 침착되어 신경퇴행질환을 유발하는 질환이다[1]. NIID의 임상 증상은 다양하게 나타날 수 있으나 치매가 가장 흔하며 말초신경병, 파킨슨증, 소뇌실조증 등도 유발할 수 있다[1,2].
그러나 일부의 경우 급성 삽화적 증상(episodic symptom)으로 발현하여 뇌염, 뇌졸중 등과 감별이 어려우므로 진단에 어려움을 겪는 경우가 있다[3,4]. 저자들은 선행하는 인지기능 저하 없이 급성 실어증으로 발현한 NIID 증례를 경험하였기에 이를 보고하고자 한다.

증 례

62세 남자가 당일 발생한 언어장애로 응급실에 왔다. 당일 오전 직장에 출근하지 않아 동료가 전화를 했더니 전화를 받지 않았으며 가족들이 집으로 방문하니 “아파”라는 말만 반복하며 밖으로 나가려고 하고 의사소통이 되지 않았다고 한다.
환자는 오른손잡이로 평소 혼자 생활하며 일상생활 및 인지 기능에 문제가 없었고 내과적 과거력은 없었으나 5년 전 타 병원에 두통, 혼돈(confusion)으로 입원하여 원인 불분명한 뇌염과 측두엽뇌전증을 진단받은 바 있었다. 당시 항바이러스제와 고용량 스테로이드 치료 후 증상이 호전되어 퇴원하였다고 한다. 이후 항경련제는 자의로 중단한 상태로 약 3분 정도 말이 나오지 않고 멍해지면서 의식을 잃는 증상이 반복되어 1년 전 본원 신경과 외래에 내원하였다. 의식이 회복되면 꿈꾸는 듯이 몽롱한 기분이 든다고 하였으며 증상은 한달에 2회 정도 반복되었다. 외래에서 시행한 뇌파 검사상 좌측 측두엽의 국소적 서파(slow wave)가 확인되었으며 뇌자기공명영상(magnetic resonance imaging, MRI)에서 좌측 측두엽의 위축이 관찰되었다. 이에 측두엽뇌전증을 우선 의심하고 항경련제 라코사마이드(lacosamide)를 투약하였으며 이후 증상이 소실되어 항경련제 치료 유지 예정이었으나 약 4개월 약물 치료 후 환자가 외래에 내원하지 않아 추적 관찰이 중단되었다.
응급실에서 시행한 신경계진찰상 의식은 명료했으나 단순 명령 수행과 이름 대기 모두 불가능하였으며 “몰라”, “아파”의 발화만 반복하여 유창성도 저하되어 있는 완전실어증(global aphasia)이 확인되었다. 그 외 뇌신경 검사, 운동기능 및 감각 기능의 이상은 없었다. 갑작스러운 완전실어증으로 뇌혈관질환 등을 우선 감별하기 위해 뇌MRI를 시행하였으며 확산강조영상(diffusion weighted image, DWI)에서 양측 전두엽의 피질수질접합부(corticomedullary junction)를 따라 선형의 고신호강도가 관찰되었다(Fig. 1-A). 혈액 검사와 뇌척수액 검사는 정상이었으며 뇌척수액의 세균 및 바이러스 표지자도 모두 음성이었다. 경련 등을 감별하기 위하여 입원 후 지속 뇌파감시를 시행하였고 발작파(ictal discharge)는 나타나지 않았으나 좌측 전측두엽의 국소적 서파가 확인되었다(Fig. 1-B).
이에 발작 후 혼동을 우선 의심하여 항경련제를 우선 시작하였으며(lacosamide 100 mg 하루 2회), 3일간 입원 중 임상 경과를 관찰하였으나 완전실어증은 호전 없이 “몰라” 등의 발화만 가능한 상태가 지속되었다. 3일 뒤 추적한 뇌MRI에서는 DWI에서 양측 전두엽의 피질수질접합부와 좌측 측두엽의 고신호강도와 함께(Fig. 2-A) T2 액체감쇠역전회복(fluid-attenuated inversion recovery, FLAIR) 좌측 측두엽에 전반적인 부종 및 고신호강도가 관찰되었다(Fig. 2-B). 관류(perfusion) 영상에서는 좌측 측두엽의 전반적인 관류 저하가 확인되었다(Fig. 2-C).
이에 자가면역뇌염의 가능성을 고려하여 자가면역뇌염 원인 항체 검사와 전신 자가면역질환에 대한 항체 검사를 하였으나 모두 음성으로 확인되었다. 그러나 급성 뇌병증으로 자가항체가 확인되지 않는 자가면역뇌염의 가능성을 고려하여 고용량 스테로이드 메틸프리드니솔론(methylprednisolone)을 하루 1 g씩 5일간 투약하였다. 투약 3일째부터 세 어절 이상의 문장 발화가 가능한 등 유창성이 크게 호전되었으며 투약 종료 3일 후에는 복합 명령 수행은 여전히 불가능하였으나 단순 명령 수행과 이름 대기가 가능해졌다. 환자는 증상 호전 추세로 퇴원하였으며 발병 2개월 뒤에는 실어증이 완전히 소실되어 병전과 같은 언어 기능으로 회복되었다.
발병 2개월 후 일반 뇌MRI와 DWI를 추적하였으며 좌측 측두엽의 부종 및 고신호강도 소견은 소실되었으나 전두엽 피질 수질접합부의 고신호강도는 지속적으로 확인되었다(Fig. 3). 이에 MRI상 피질수질접합부 고신호강도가 지속되는 소견을 바탕으로 NIID를 의심하였다. 진단을 위해 우측 허벅지에서 피부 생검을 시행하였고 피부 생검 결과 헤마톡실린-에오신(hematoxylin-eosin) 염색에서 땀샘세포의 호산유리질핵내 봉입체가 확인되어 NIID로 진단되었다. 이후 환자는 항경련제를 지속하고 있으며 경련이나 실어증 등 증상의 재발은 없었다.

고 찰

본 증례는 선행하는 인지기능 저하 없이 갑자기 발생한 실어증으로 발현한 NIID 증례이다. NIID는 신경퇴행질환으로 서서히 진행하는 인지기능장애가 가장 대표적인 증상으로 알려져 있으나 본 증례와 같이 급성으로 삽화 증상이 나타난 경우도 보고되었다[3,4]. 현재까지 보고된 증례들은 대부분 인지기능 저하를 동반하며 증상이 약 1-2주일 정도 지속 후 저절로 회복되는 경과를 보였다. 그러나 본 증례의 경우 선행하는 인지 기능 저하가 없었으며 완전실어증의 증상도 발병 시점으로부터 1개월 이상 지속되어 기존에 보고된 증례에 비해 질병의 경과가 길었다는 차이점이 있었다. 또한 삽화 증상 발병 전에 발생한 반복적인 의식 소실도 NIID로 인한 의식 소실을 동반하는 부분발작으로 생각되며 당시 시행한 뇌MRI상 피질의 위축 소견도 NIID와 연관된 것으로 생각된다. NIID는 뇌전증으로도 발현할 수 있으며 특히 반복적인 의식 저하가 발생하는 경우가 많기 때문이다[5].
NIID는 임상적으로 다양한 증상으로 나타날 수 있기 때문에 특징적인 뇌MRI 소견을 통해 진단을 의심하는 것이 중요하다. DWI영상에서 확인되는 피질수질접합부의 고신호강도가 가장 대표적이며 백질병증(leukoencephalopathy), 피질의 위축 등이 나타날 수 있다[1,2]. 그 외 삽화적 증상의 경우 증상의 발현과 동시에 국소적인 뇌부종이 나타날 수 있으며[1,6,7] 본 증례에서도 추적 뇌MRI상 좌측 측두엽의 부분적인 부종과 T2 FLAIR 영상에서의 고신호강도 소견이 확인되었다. 또한 본 증례에서는 급성 완전실어증과 함께 관류강조 MRI에서 좌측 측두엽의 관류 저하가 나타났다. NIID 환자는 호산봉입체가 혈관 내 민무늬근육(smooth muscle)에 침착되므로 이로 인하여 관류 저하(hypoperfusion) 및 뇌졸중과 유사한 급성 신경계 증상이 나타나는 것으로 생각된다[8]. 또한 NIID 환자의 뇌조직 검사상 신경세포의 손상과 허혈 변화가 확인되었다는 보고가 있어[7] 뇌졸중과 유사한 신경계 증상이 발생할 수 있으며 실어증의 증상이 비교적 장기간 지속되었을 것으로 추정할 수 있다.
NIID는 현재까지 알려진 치료법은 없으나 삽화 증상의 경우 급성기에 고용량 스테로이드 치료를 하는 것이 도움이 될 수 있다고 보고되어 왔다[1,9]. 본 증례와 같이 NIID의 삽화 증상에 고용량 스테로이드를 투약한 증례들이 있으며[4,7] 뇌의 국소적인 부종과 의식 저하의 회복에 도움이 되는 것으로 알려져 있다[1]. 현재까지 스테로이드의 치료 효과와 기전은 불분명하나 NIID의 삽화 증상에서 뇌MRI상 조영증강된 소견이 있는 경우 스테로이드 치료가 효과가 있었다는 보고가 있어 항염증 효과가 치료적 기전과 연관이 있을 것으로 추정된다[9].
본 증례는 NIID가 선행하는 인지기능 저하 없이 급성 실어증과 같은 삽화적인 증상으로 발현할 수 있음을 보여준다. 이에 뇌MRI상 DWI에서 피질수질접합부의 고신호강도와 같은 특징적인 소견이 보이는 경우 NIID의 진단을 위해 피부 생검을 고려할 필요가 있다. 또한 NIID의 삽화 증상의 경우 급성기에 고용량 스테로이드 치료를 시도해 보는 것이 도움이 될 수 있겠으며 치료 효과 및 기전은 추후 연구가 필요하다.

REFERENCES

1. Sone J, Mori K, Inagaki T, Katsumata R, Takagi S, Yokoi S, et al. Clinicopathological features of adult-onset neuronal intranuclear inclusion disease. Brain 2016;139:3170-3186.
crossref pmid pmc
2. Liu Y, Li H, Liu X, Wang B, Yang H, Wan B, et al. Clinical and mechanism advances of neuronal intranuclear inclusion disease. Front Aging Neurosci 2022;14:934725.
crossref pmid pmc
3. Huang Y, Jin G, Zhan QL, Tian Y, Shen L. Adult-onset neuronal intranuclear inclusion disease, with both stroke-like onset and encephalitic attacks: a case report. BMC Neurol 2021;21:142.
crossref pmid pmc
4. Yang TW, Park KJ, Cho EB, Jung S, Yoon CH, Kim SJ, et al. Neuronal intranuclear inclusion disease presenting with recurrent headache, confusion and progressive cognitive decline. J Korean Neurol Assoc 2020;38:342-345.
crossref
5. Zhang J, Ling L, Xiang L, Li W, Bao P, Yue W. Clinical features of neuronal intranuclear inclusion disease with seizures: a systematic literature review. Front Neurol 2024;15:1387399.
crossref pmid pmc
6. Tai H, Wang A, Zhang Y, Liu S, Pan Y, Li K, et al. Clinical features and classification of neuronal intranuclear inclusion disease. Neurol Genet 2023;9:e200057.
crossref pmid pmc
7. Mori K, Yagishita A, Funata N, Yamada R, Takaki Y, Miura Y. Imaging findings and pathological correlations of subacute encephalopathy with neuronal intranuclear inclusion disease-case report. Radiol Case Rep 2022;17:4481-4486.
crossref pmid pmc
8. Kutsuna F, Tateishi Y, Yamashita K, Kanamoto T, Hirayama T, Shima T, et al. Perfusion abnormality in neuronal intranuclear inclusion disease with stroke-like episode: a case report. Cereb Circ Cogn Behav 2022;3:100127.
crossref pmid pmc
9. Liang H, Wang B, Li Q, Deng J, Wang L, Wang H, et al. Clinical and pathological features in adult-onset NIID patients with cortical enhancement. J Neurol 2020;267:3187-3198.
crossref pmid

Figure 1.
Initial examination of the patient. (A) On his initial brain magnetic resonance imaging (MRI), diffusion weighted image (DWI) images showed a U-shaped high intensity lesion in bilateral frontal corticomedullary junction. (B) On continuous electroencephalography (EEG), there were no ictal discharges but focal slow waves in left fronto-temporal area. The symptom of global aphasia persisted during continuous EEG. EKG; elektrokardiogramm, EMG; electromyogram.
jkna-42-4-348f1.jpg
Figure 2.
Follow-up brain MRI of the patient. Three days after hospital admission, follow-up brain MRI was performed. (A) On DWI, high intensity lesion in bilateral frontal corticomedullary lesion remained, and high intensity lesion in left temporal area was newly appeared. (B) On T2 FLAIR, a high intensity lesion with edema appeared newly in the left temporal area. (C) Perfusion MRI showed hypoperfusion in the left temporal area, which was correlated with persisting aphasia. MRI; magnetic resonance imaging, DWI; diffusion weighted image, FLAIR; fluid-attenuated inversion recovery.
jkna-42-4-348f2.jpg
Figure 3.
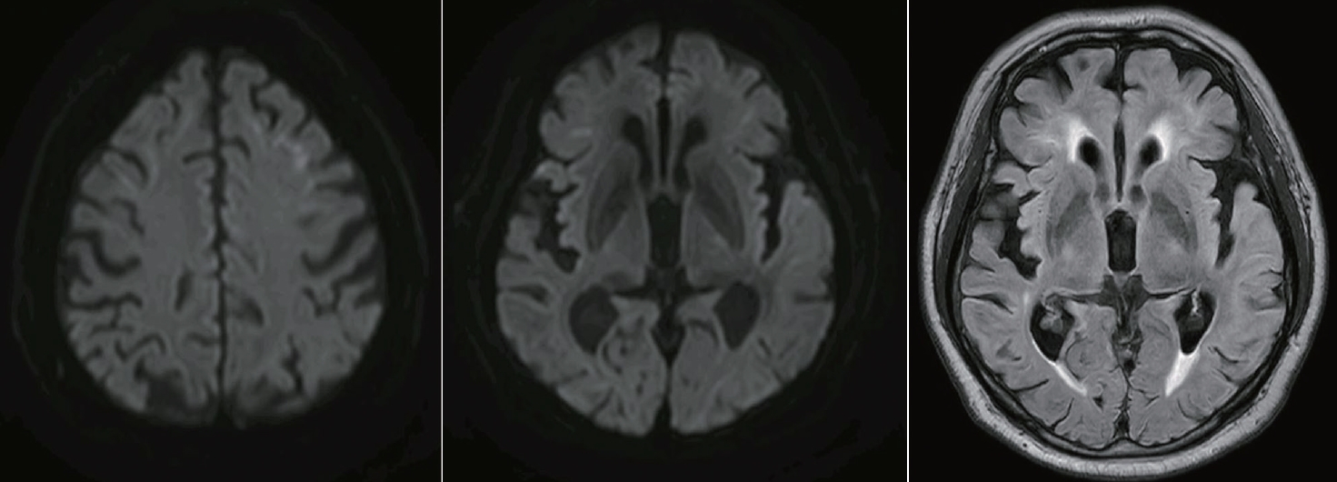
Follow-up brain MRI after symptom resolved. Two months after symptom onset, the patient's symptom of aphasia was completely improved. Then we performed a follow-up routine brain MRI with DWI, and a high-intensity lesion with edema in left temporal area was resolved. However, a high intensity lesion of bilateral frontal corticomedullary junction in DWI image was remained. MRI; magnetic resonance imaging, DWI; diffusion weighted image.
jkna-42-4-348f3.jpg


ABOUT
BROWSE ARTICLES
EDITORIAL POLICY
FOR CONTRIBUTORS
Editorial Office
(ZIP 03163) #1111, Daeil Bldg, 12, Insadong-gil, Jongno-gu, Seoul, Korea
Tel: +82-2-737-6530    Fax: +82-2-737-6531    E-mail: jkna@neuro.or.kr                

Copyright © 2026 by Korean Neurological Association.

Developed in M2PI

Close layer