J Korean Neurol Assoc > Volume 43(3); 2025 > Article
갑상샘기능저하증의 첫 번째 증상으로 나타난 구음장애

Abstract

Hypothyroidism, a common endocrine disorder, typically presents with fatigue, constipation, and cold intolerance, but as it progresses, it may cause cognitive decline, weight gain, and neuromuscular symptoms like muscle weakness and cramps. This case report discusses a 49-year-old woman presenting with isolated dysarthria, ultimately diagnosed with primary hypothyroidism confirmed by elevated anti-thyroid peroxidase antibodies. After 4 weeks of thyroxine therapy, her symptoms resolved completely. This case emphasizes the importance of considering hypothyroidism as a reversible cause of isolated dysarthria in clinical evaluations.

갑상샘기능저하증은 피로, 무기력, 변비, 추위에 대한 불내증 등 다양한 증상을 특징으로 하는 흔한 내분비 질환이다[1]. 심한 경우 인지 및 운동기능 저하, 체중 증가, 점액부종, 갑상샘종 등의 증상이 동반될 수 있으며 근력 저하, 근육통, 근경련 등의 근육 이상이 나타날 수도 있다[2]. 본 증례에서는 전형적인 갑상샘기능저하증의 증상 없이 갑작스러운 구음장애를 주소로 내원한 49세 여자가 하시모토갑상샘염으로 진단된 경우를 보고하고자 한다.

증 례

49세 여자가 일주일 전 갑작스럽게 발생한 구음장애로 내원하였다. 활력 징후는 혈압 130/92 mmHg, 맥박수 77회/분, 호흡수 20회/분, 체온 36.9℃로 정상 범위였다. 신체 검진에서는 갑상샘이 촉지되지 않았으며 느린 말투, 낮은 음조, 약해진 음성 강도를 특징으로 하는 구음장애 이외에는 삼킴곤란, 뇌신경장애 등 다른 신경계 이상은 관찰되지 않았다. 환자의 과거 병력과 가족력은 모두 특이 소견이 없었다.
혈액 검사에서 혈청 크레아틴인산화효소(creatine kinase, CK)는 2,670 U/L로 현저히 상승하였고 총 콜레스테롤은 510 mg/dL, 저밀도지질단백(low-density lipoprotein, LDL) 콜레스테롤은 356 mg/dL로 증가하였다. 또한 젖산탈수소효소(lactate dehydrogenase, LDH)는 679 U/L, 아스파르트산아미노전이효소(aspartate aminotransferase, AST)는 143 U/L, 알라닌아미노전이효소(alanine aminotransferase, ALT)는 124 U/L로 상승하였다. 갑상샘기능 검사에서는 T3가 0.02 ng/dL, free T4가 0.42 ng/dL 이하로 낮았으며 갑상샘자극호르몬(thyroid stimulating hormone, TSH)은 64.150 µIU/mL로 높은 수치를 보였다. 갑상샘자가항체 검사에서는 항갑상샘글로불린항체(anti-thyroglobulin antibody)가 1,000 이상으로 크게 증가한 상태였다.
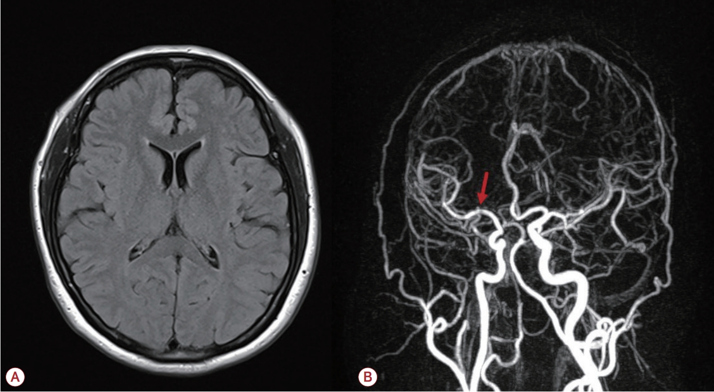
환자는 뇌졸중을 배제하기 위하여 magnetic resonance imaging (MRI)을 시행하였으며 확산강조영상(diffusion-weighted image, DWI) 및 액체감쇠역전회복(fluid attenuated inversion recovery, FLAIR) 영상에서 급성 병변과 허혈성 병변이 관찰되지 않았다. 또한 뇌 자기공명혈관조영(magnetic resonance angiography, MRA) 결과 오른쪽 중대뇌동맥(middle cerebral artery, MCA)의 경미한 국소 협착 이외에는 뚜렷한 이상 소견이 발견되지 않았다(Fig.). 신경전도 검사 결과 손목굴증후군(carpal tunnel syndrome, CTS) 외에 없었으며 바늘근전도 검사에서 근육병 소견은 확인되지 않았다. 또한 뇌파 검사 및 반복신경자극 검사에서도 정상 범위 내 결과를 보였다.
환자는 하시모토갑상샘염으로 진단받아 매일 50 µg의 레보티록신을 처방받아 치료를 시작하였고 1주 후 용량을 75 µg으로 증량하였다. 2주 후 추적 검사에서 CK 수치는 618 U/L로 감소하였고 갑상샘기능 검사 결과 T3 수치는 0.82 ng/dL, free T4는 1.01 ng/dL로 정상 범위로 회복하였다. TSH 수치는 14.580 µIU/mL로 여전히 상승해 있었으나 환자는 증상의 개선을 경험하였고 말의 속도와 음성의 질도 향상되었다.

고 찰

본 증례는 전형적인 갑상샘기능저하증의 증상이 없더라도 구음장애가 첫 번째 증상으로 나타날 수 있음을 보여주는 사례이다. 갑상샘기능저하증에서 구음장애가 초기 증상으로 보고된 사례는 드물다[3]. 기존 사례에서는 다른 갑상샘기능저하증 증상이 동반된 상태에서 구음장애가 추가적으로 나타난 반면 본 증례에서는 다른 전형적인 증상 없이 구음장애가 주요 증상으로 발현된 점이 특징적이다.
갑상샘기능저하증과 관련된 언어 및 목소리 변화에 대한 연구는 제한적이지만 갑상샘호르몬 결핍이 인간의 발화와 목소리에 영향을 미칠 수 있다는 다수의 보고가 있다. 문헌마다 다르나 갑상샘기능저하증 환자의 약 9%에서 52% 사이의 비율로 목소리 변화가 관찰되었다[4]. 이러한 목소리 변화는 저음, 목소리 거칢, 발성 범위 감소, 음성 피로 등을 특징으로 한다[5]. 본 증례의 환자의 경우도 느린 말투, 낮은 음조 그리고 약화된 음성 강도를 보였으며 이는 갑상샘기능저하증으로 인한 전형적인 음성 변화 소견과 일치한다.
갑상샘기능저하증이 언어장애를 유발하는 기전은 명확히 밝혀지지 않았으나 선행된 연구들에서 여러 가지 가설이 제시되었다. 성대, 발성 근육에 점액부종성 침윤이 일어나서 생긴다는 기전과 거대설이 발음에 영향을 미친다는 점[3], 더 나아가 갑상샘호르몬 결핍이 전반적인 인지기능 저하를 유발하면[6] 언어 능력에 간접적으로 영향을 줄 수 있다는 가설도 제안될 수 있다.
갑상샘 질환에서 나타나는 목소리 변화와 뇌졸중로 인한 언어학적 증상은 기저 원인과 증상 발현 방식에서 차이를 보인다. 뇌졸중 환자의 언어 문제는 일반적으로 신경계 손상으로 인한 발음 및 표현 능력 저하와 관련이 있지만 갑상샘호르몬 결핍으로 인한 목소리 변화는 주로 후두 조직의 변화로 인한 목소리 특성의 저하와 더 깊이 연결되어 있다.
간수치 변화, CK 상승은 갑상샘기능저하증에 흔히 동반된다. 주로 지질대사장애, 간지방증 또는 갑상샘기능저하증으로 유발된 근병증과 관련이 있을 수 있다[7]. 본 증례는 근육병 가능성은 낮다고 판단하였다. 갑상샘근병증에서 나타나는 전형적인 근위근 약화(proximal muscle weakness)가 관찰되지 않았고 근전도 검사에서도 섬유세동파(fibrillation potentials)나 저진폭, 짧은 지속 시간의 다상운동단위전위(small amplitude, short duration, polyphasic motor unit potentials [MUPs]) 등 갑상샘근병증을 시사하는 전형적인 소견은 관찰되지 않았기 때문이다[8].
CK 상승의 원인으로 여러 가지 기전이 제안되었다. 대표적인 기전은 저대사(hypo-metabolic) 상태에서 해당과정(glycolysis)과 산화적 인산화(oxidative phosphorylation)의 감소로 인하여 ATP 농도가 임계 한계 이하로 떨어지는 것이다. 또한 근세포막(sarcolemmal membrane)의 변화는 세포 투과성을 증가시켜 CK가 세포 밖으로 누출되는 원인이 될 수 있다[9].
CTS는 갑상샘 질환 환자에서 흔히 발생하는 신경병증 중 하나로 그 정확한 병태생리는 아직 명확히 밝혀지지 않았다. 그러나 이는 정중신경에 점액성 물질이나 점액다당류가 침착되는 현상과 관련될 수 있으며 손목굴 내 힘줄 주변의 활막이 부어오르는 것이 원인일 가능성이 제기되고 있다[10].
본 증례는 급성 구음장애 환자의 감별 진단에 있어 갑상샘기능저하증을 고려해야 하며 특히 다른 신경계 이상 없이 단독 증상으로 발현될 수 있음을 주지하여야 함을 시사한다. 또한 혈액 검사상의 이상, CTS와 같은 변화가 선행될 수 있음을 기억하여야 할 것이다.

REFERENCES

1. Chaker L, Bianco AC, Jonklaas J, Peeters RP. Hypothyroidism. Lancet 2017;390:1550-1562.
crossref pmid pmc
2. Cakir M, Samanci N, Balci N, Balci MK. Musculoskeletal manifestations in patients with thyroid disease. Clin Endocrinol (Oxf) 2003;59:162-167.
crossref pmid
3. Stollberger C, Finsterer J, Brand E, Tschabitscher D. Dysarthria as the leading symptom of hypothyroidism. Am J Otolaryngol 2001;22:70-72.
crossref pmid
4. Mohammadzadeh A, Heydari E, Azizi F. Speech impairment in primary hypothyroidism. J Endocrinol Invest 2011;34:431-433.
crossref pmid
5. Junuzović-Žunić L, Ibrahimagić A, Altumbabić S. Voice characteristics in patients with thyroid disorders. Eurasian J Med 2019;51:101-105.
crossref pmid pmc
6. Samuels MH. Psychiatric and cognitive manifestations of hypothyroidism. Curr Opin Endocrinol Diabetes Obes 2014;21:377-383.
crossref pmid pmc
7. Piantanida E, Ippolito S, Gallo D, Masiello E, Premoli P, Cusini C, et al. The interplay between thyroid and liver: implications for clinical practice. J Endocrinol Invest 2020;43:885-899.
crossref pmid
8. Eslamian F, Bahrami A, Aghamohammadzadeh N, Niafar M, Salekzamani Y, Behkamrad K. Electrophysiologic changes in patients with untreated primary hypothyroidism. J Clin Neurophysiol 2011;28:323-328.
crossref pmid
9. McGrowder D, Fraser Y, Gordon L, Crawford T, Rawlins J. Serum creatine kinase and lactate dehydrogenase activities in patients with thyroid disorders. Niger J Clin Pract 2011;14:454-459.
crossref pmid
10. Karne SS, Bhalerao NS. Carpal tunnel syndrome in hypothyroidism. J Clin Diagn Res 2016;10:OC36-OC38.
crossref pmid pmc

Figure.
Brain magnetic resonance imaging (MRI) and magnetic resonance angiography (MRA). (A) Brain MRI reveals minimal leukoaraiosis in the bilateral cerebral white matter. (B) Brain MRA shows mild focal stenosis in the right middle cerebral artery, indicated by the red arrow.
jkna-43-3-166f1.jpg


ABOUT
BROWSE ARTICLES
EDITORIAL POLICY
FOR CONTRIBUTORS
Editorial Office
(ZIP 03163) #1111, Daeil Bldg, 12, Insadong-gil, Jongno-gu, Seoul, Korea
Tel: +82-2-737-6530    Fax: +82-2-737-6531    E-mail: jkna@neuro.or.kr                

Copyright © 2026 by Korean Neurological Association.

Developed in M2PI

Close layer