Epstein-Barr Virus Encephalitis Involving the Bilateral Corticospinal Tract: Wine Glass Sign
- Jinsik Lee, MDa, Uichan Hong, MDa, Seohee Choi, MDa, Woo Jun Kim, MDa, Soonwook Kwon, MD, PhDa,b
양측 피질척수로를 침범한 엡스타인-바바이러스뇌염: 포도주잔징후
- 이진식a, 홍의찬a, 최서희a, 김우준a, 권순욱a,b
- Received June 18, 2024; Revised July 5, 2024; Accepted July 18, 2024;
- ABSTRACT
-
Epstein-Barr virus (EBV) causes a variety of central nervous system infections, including encephalitis. EBV encephalitis accounts for approximately 5.8% of all viral encephalitis, with fever, headache, convulsions, and decreased consciousness as common symptoms. Brain magnetic resonance imaging (MRI) in EBV encephalitis shows high signal intensity mainly in the parieto-occipital cortex, subcortical white matter, and deep gray matter nuclei with reversibility. In this report, we present a case of bilateral corticospinal tract involvement (wine glass sign) identified on brain MRI in a patient with diagnosed with EBV encephalitis.
엡스타인-바바이러스(Epstein-Barr virus, EBV)는 감염 단핵구증의 원인으로 드물게 뇌염, 뇌수막염, 척수염, 소뇌염 및 급성파종뇌척수염 등 다양한 중추신경계 감염을 유발할 수 있다. EBV뇌염은 전체 바이러스뇌염의 원인 중에서 약 5.8%를 차지하며 발열, 두통, 경련, 의식 저하가 흔한 증상이고 바이러스가 직접 중추신경계를 침범하거나 항체 매개 감염 후 염증반응으로 생기는 것으로 생각된다[1,2]. 전형적인 뇌자기공명영상(magnetic resonance imaging, MRI) 소견은 T2 강조영상 혹은 액체감쇠역전회복(fluid attenuated inversion recovery, FLAIR) 영상에서는 피질하백질과 깊은회색질핵(deep gray nuclei)에 다초점 신호증강 병터이며 대부분 가역적이다.
저자들은 발열과 두통으로 병원 방문 후 의식 저하와 함께 과호흡을 동반한 호흡부전이 발생한 환자에서 EBV뇌염을 진단하였다. 이 증례에서 이전에 보고된 바가 없었던 양측 피질척수로(corticospinal tract)를 침범하는 뇌영상 소견을 경험하여 이를 보고하고자 한다.
- 증 례
- 증 례
특이 병력이 없는 40세 여자가 5일 전 발생한 두통, 발열로 응급실에 왔다. 두통은 머리 전반에 걸쳐 지끈거리는 양상으로 강도가 점점 심해지고 지속되었으며 구역을 동반하였다. 활력징후는 혈압 132/69 mmHg, 맥박 78회/분, 호흡 14회/분, 체온 38.6℃였다. 신경계진찰에서 의식은 명료하였으며 목경축을 포함한 뇌수막자극징후는 음성이었다. 뇌컴퓨터단층촬영 검사에서 덩이 형성은 관찰되지 않았으며 뇌척수액 검사에서 뇌압은 22 cmH2O, 백혈구 240/mm3 (림프구 87%), 단백질 180.8 mg/dL, 포도당 42 mg/dL (혈당, 120)였다. 뇌MRI에서 연수막에 경미한 조영증강(leptomeningeal enhancement)이 의심되었으며 뇌실질 침범 소견은 없었다. 바이러스, 결핵, 세균 및 진균에 대한 감염 검사를 진행한 후 결과가 나오기 전까지 아시클로버 정맥 투여와 상승된 뇌압을 조절하기 위하여 아세타졸아미드 경구 투여를 시작하였다. 입원 4일째 두통이 더 악화되고 의식은 혼미(stupor)로 저하되었다. 호흡수는 분당 40회 이상으로 증가하였고 동맥혈 검사에서는 pH 7.476 (정상 범위, 7.350-7.450), PCO2 8.9 mmHg (정상 범위, 35.0-45.0), PO2 73 mmHg (정상 범위, 83.0-108.0), HCO3 7 mmol/L (정상 범위, 23-29)로 호흡알칼리증을 보였다. 전신강직도 동반되어 뇌전증을 감별하기 위해 시행한 뇌파 검사에서 뇌기능 저하를 시사하는 전신서파(generalized slow waves)가 확인되었으나 뇌전증모양방전(epileptiform discharge)은 없었고 크레아틴인산화효소(creatine kinase)가 733 U/L (정상 범위, 20-180)로 증가되었으며 혈중 젖산 수치는 정상이었다. 추적 검사한 뇌MRI에서 광범위한 연수막 조영증강(leptomeningeal enhancement)과 함께 양측 두정후두엽(parieto-occipital lobe)에서 심한 피질부종과 우측 전두엽백질에서 T2 고신호강도(high signal intensity) 병터가 관찰되었다(Fig. 1). 응급실 뇌척수액 검사에서 EBV에 대한 중합효소사슬반응(polymerase chain reaction, PCR) 검사 결과 양성이었고 세균, 진균 및 결핵균에 대한 배양 검사와 바이러스 PCR 검사(단순 헤르페스바이러스, 수두대상포진바이러스, 거대세포바이러스, 엔테로바이러스), 자가면역뇌염(anti-Hu, Yo, amphiphysin, CV2, Ma2/Ta, recoverin, SOX1, Titin, NMDAR, LGI1, AMPAR, DPPX, and GABABR) 항체들은 모두 음성이었다. 신기능 저하(사구체여과율 40 mL/min/1.73 m2)로 인해 아시클로버를 간시클로버(ganciclovir)로 변경하였고 고용량 코티코스테로이드 1 g을 정맥으로 5일간 같이 투여하였다. 입원 20일경 과호흡이 조절되고 진정제를 중단 후 시행한 신경계진찰에서 의식 수준 및 전신강직은 호전되었으나 양측 상하지와 목굽힘근의 근력이 Medical Research Council (MRC) 2등급으로 저하되어 있었고 자발호흡이 약해 기계호흡이 지속적으로 필요하였다. 척수MRI는 이상을 보이지 않았으며 뇌MRI 추적 검사에서 연수막 조영증강은 이전과 비교하여 호전되었으나 T2 강조영상과 FLAIR 영상에서 바닥핵, 속섬유막, 중뇌의 대뇌다리, 다리뇌, 숨뇌로 이어지는 피질척수로의 병터가 새로이 확인되었고 조영증강은 동반되지 않았다(Fig. 2). 약 4주간의 치료 후 뇌척수액 추적 검사에서 백혈구 및 단백질 수치는 호전 추이를 보였으며 근력이 전반적으로 MRC 3등급으로 회복된 상태로 재활 치료를 위해 전원하였다. 퇴원 후 경구 스테로이드는 서서히 감량하여 중단하였고 신경계 증상은 호전되어 퇴원 2개월 뒤 기관절개관 제거술을 성공적으로 하였다. 3개월 후 외래 방문 시 양측 상하지 근력은 MRC 4등급으로 스스로 보행이 가능하였고 실조증만 경미하게 남았다.
- 고 찰
- 고 찰
본 증례에서 환자는 임상적으로 두통과 발열, 의식 저하가 발생하였으며 과호흡으로 인한 호흡부전이 동반되었다. 뇌 MRI에서 양측 두정-후두엽의 피질 부종과 우측 전두엽백질에서 T2 고신호강도 병터뿐만 아니라 양측 피질척수로를 따라 여러 개의 고신호강도 병터가 확인되어 이전에 잘 보고되지 않았던 EBV뇌염의 영상 소견으로 생각된다. EBV뇌염의 뇌 MRI 영상 소견은 T2 강조영상에서 주로 두정-후두엽 피질, 피질하백질, 깊은회색질핵에 병터가 나타나며 대부분 가역적으로 회복된다고 알려져 있다[3-5]. 그 외에도 뇌줄기의 병터가 보고된 바 있으나 본 증례와 같이 양측의 피질척수로를 따라 발생한 병터를 보고한 증례는 없는 것으로 보인다. 뇌MRI의 T2 강조영상 혹은 FLAIR 영상의 관상단면에서 양측 피질척수로를 따라 고강도신호가 관찰되는 경우 포도주잔 그릇(bowl)의 선과 유사하다고 하여 포도주잔징후(wine glass sign)라 부르며 근위축측삭경화증이나 삼투수초용해(osmotic myelinolysis), 중추 신경계림프종에서 보고된 바 있다(Fig. 2-E-G, Table) [6].신경친화바이러스인 EBV가 뇌염을 발생시키는 기전은 중추 신경계로 직접 침범하거나 항체 매개 감염 후 염증반응을 통해 일으킨다[1,2]. 대부분의 경우 잠복 감염된 B세포에서 재활성화된 바이러스가 혈액뇌장벽을 통과하여 뇌염을 발생시키는 것으로 알려져 있다[2]. EBV는 B세포를 통한 이동 또는 뇌미세혈관 내피세포 감염을 통해 뇌에 침입하며 염증사이토카인, 바이러스 단백질의 방출과 T세포 매개반응을 통해 신경독성을 일으킨다. 또한 항체 매개 감염 후 염증반응은 EBV와 중추신경계 펩타이드 사이의 유사성으로 인해 T세포와 B세포가 교차 활성화되는 분자 모방(molecular mimicry)이 EBV의 중추신경계 병인으로 추정된다[7]. 이전에 보고된 증례들에서 EBV가 양측 피질하백질과 함께 바닥핵, 시상의 깊은회색질핵을 침범한 것을 확인할 수 있었으나 해당 부위에서 호발하는 기전에 대해서는 추가적인 연구가 필요하다.특히 본 증례에서는 특징적으로 뇌MRI에서 양측 피질척수로를 침범하여 포도주잔징후를 보였는데 유사한 소견을 보일 수 있는 질환들에 대한 감별이 필요하였다(Table). 뇌 병터를 시사하는 질환에 대한 가족력이 없었고 발열 및 감염과 관련된 징후와 증상을 동반하였으며 비교적 급성으로 진행하는 임상 경과를 보였기 때문에 감염, 유전 또는 신경퇴행질환의 가능성은 적었다. 또한 입원 시 신속 코로나항원 검사에서 음성이었으며 최근 백신을 접종받은 병력 또한 없었다. 시신경척수염과 같은 탈수초질환에서는 지속되는 발열을 동반하지 않으며 환자에서는 특징적인 시신경 혹은 척수 병터가 없었고 진단항체 검사에서 모두 음성이 나와 배제하였다. 감염질환에 대한 검사 중 뇌척수액 검사에서 EBV에 대한 PCR이 양성으로 확인되어 EBV뇌염으로 진단하였다. 또한 추적 관찰을 위해 시행한 뇌 MRI에서 뇌실질의 새로운 미세출혈들이 발견되었는데 이는 EBV뇌염에서 동반될 수 있는 부종출혈 또는 혈관염으로 판단하였다[8,9].또한 발병 초기에 증상이 진행하면서 과호흡이 동반되었고 점차 악화되어 호흡부전으로 진행하여 기계호흡을 적용하게 되었다. 뇌압 조절을 위해 투여했던 아세타졸아미드가 유발한 대사산증이 원인일 수도 있지만 호흡알칼리증이 선행된 것으로 보이며 젖산의 상승이 없었던 점을 고려하여 아세타졸아미드에 의한 과호흡 유발은 다소 가능성이 낮을 것으로 생각하였다. 따라서 뇌염에 의한 뇌줄기의 중간뇌와 다리뇌의 손상으로 인한 중추과호흡에 의한 증상으로 추정하였다[10].본 증례의 환자는 두통, 발열로 병원에 와서 항바이러스제로 치료하였으나 점차 의식 저하, 호흡부전이 발생하여 기계 호흡 및 기관절개술을 시행하였으며 증상이 호전되어 퇴원 후 외래에서 추적 관찰 중이다. 혈액 및 뇌척수액 PCR에서는 EBV가 검출되었고 입원 24일째 시행한 뇌MRI에서 양측 피질척수로를 따라 이어지는 병터를 확인할 수 있었다. 영상 검사에서 양측 피질척수로를 침범하여 포도주잔징후를 시사하는 병터가 있는 경우 다양한 병인을 고려하여 감별 진단을 할 필요가 있으며 본 증례처럼 EBV뇌염도 고려하는 것이 필요하겠다.
Figure 1.
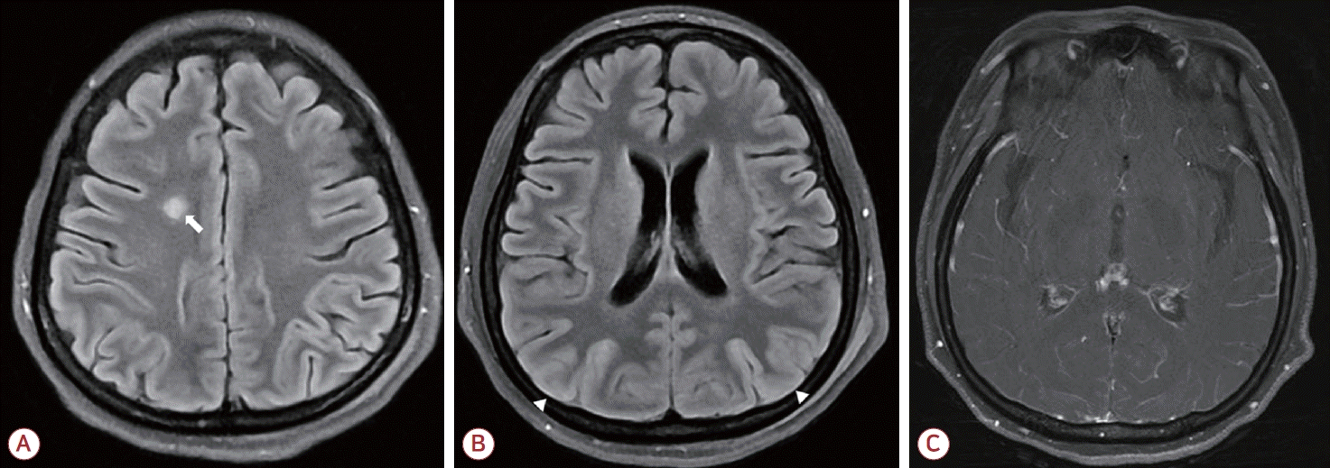
Brain MRI at admission day 4. (A) Right frontal lobe lesion on FLAIR image (arrow). (B) Diffuse cortical swelling, especially on bilateral parieto-occipital lobe (arrowheads) on FLAIR image. (C) Diffuse leptomeningeal enhancement on T1-weighted image with gadolinium enhancement. MRI; magnetic resonance imaging, FLAIR; fluid attenuated inversion recovery.
Figure 2.
Brain MRI at admission day 24. (A) Bilateral basal ganglia lesions (arrowheads) on FLAIR image. (B-D) Bilateral corticospinal tract lesions (arrows) on FLAIR images. (E-G) Bilateral corticospinal tract lesions (arrows) on coronal T2-weighted images. (H) Wine glass image. The lesions along the bilateral corticospinal tracts (E-G) resemble the outline of a wine glass. MRI; magnetic resonance imaging, FLAIR; fluid attenuated inversion recovery.
Table.
Differential diagnosis with bilateral corticospinal tract involvement (wine-glass sign) on brain magnetic resonance imaging
- REFERENCES
- REFERENCES
- 1. Ai J, Xie Z, Liu G, Chen Z, Yang Y, Li Y, et al. Etiology and prognosis of acute viral encephalitis and meningitis in Chinese children: a multicentre prospective study. BMC Infect Dis 2017;17:494.
[Article] [PubMed] [PMC]2. Zhang N, Zuo Y, Jiang L, Peng Y, Huang X, Zuo L. Epstein-Barr virus and neurological diseases. Front Mol Biosci 2021;8:816098.
[Article] [PubMed] [PMC]3. Kalita J, Maurya PK, Kumar B, Misra UK. Epstein Barr virus encephalitis: clinical diversity and radiological similarity. Neurol India 2011;59:605-607.
[Article] [PubMed]4. Ono J, Shimizu K, Harada K, Mano T, Okada S. Characteristic MR features of encephalitis caused by Epstein-Barr virus: a case report. Pediatr Radiol 1998;28:569-570.
[Article] [PubMed]5. Jang YY, Lee KH. Transient asymptomatic white matter lesions following Epstein-Barr virus encephalitis. Korean J Pediatr 2011;54:389-393.
[Article] [PubMed] [PMC]6. Ahn BJ, Go H, Kwon KY. An unusual case of central nervous system lymphoma presenting with ataxic quadriparesis showing ‘wine glass’-like appearance. J Clin Neurol 2022;18:367-369.
[Article] [PubMed] [PMC]7. Soldan SS, Lieberman PM. Epstein-Barr virus infection in the development of neurological disorders. Drug Discov Today Dis Models 2020;32:35-52.
[Article] [PubMed] [PMC]8. Han J, Kang Z, Xie Y, Li H, Yan H, Song X. Acute diffuse edematous-hemorrhagic Epstein-Barr virus meningoencephalitis: a case report. Medicine (Baltimore) 2019;98:e18070.
[PubMed] [PMC]9. Yamaguchi M, Yoshioka T, Yamakawa T, Maeda M, Shimizu H, Fujita Y, et al. Anti-neutrophil cytoplasmic antibody-associated vasculitis associated with infectious mononucleosis due to primary Epstein-Barr virus infection: report of three cases. Clin Kidney J 2014;7:45-48.
[Article] [PubMed]10. Eduardo EB, Jasper RD, Kelly DF, Barbara FW. Mayo clinic medical neuroscience: organized by neurologic systems and levels. 5th ed. England: Taylor & Francis, 2008;657-658.
