일산화탄소 중독 후 발생한 단독 소뇌병변과 지연뇌병증
Isolated Cerebellar Lesions Followed by Delayed Encephalopathy after Carbon Monoxide Poisoning
Article information
Trans Abstract
Carbon monoxide (CO) poisoning typically results in bilateral globus pallidus and subcortical white matter injuries, sometimes followed by delayed encephalopathy with white matter changes. This report describes a patient with CO poisoning who initially presented with isolated cerebellar lesions on imaging. Following recovery from the acute phase, the patient developed delayed encephalopathy, manifesting as Parkinsonism and akinetic mutism. This case highlights that isolated cerebellar involvement may represent an atypical radiological finding in CO poisoning.
일산화탄소 중독은 적혈구의 혈색소에 친화력이 200배 이상 높은 일산화탄소가 산소 대신 결합하여 적혈구의 산소 결합을 방해하고 조직으로의 산소 전달을 저하시켜 저산소증을 일으키는 질환이다[1]. 그로 인하여 뇌, 심장과 같이 산소 요구량이 많은 조직들이 주로 손상된다. 일산화탄소 중독에 의한 뇌손상은 주로 기저핵, 대뇌백질, 해마를 침범한다[2,3].
일산화탄소 중독에 의한 증상은 노출된 정도와 시간에 따라서 다양하게 나타난다. 두통, 어지럼증, 오심, 구토와 같은 경한 증상에서부터 경련, 혼돈, 혼수와 같은 심각한 신경계 증상까지 발생할 수 있고 심장이 침범되면 호흡곤란, 흉통 등이 발생할 수 있다[1]. 또한 일부 환자에서는 일산화탄소 중독에서 회복되었다가 수일에서 수주 후에 대뇌백질을 침범하는 병변과 함께 인지장애, 운동장애, 행동장애 등의 신경계 증상이 나타나는 지연뇌병증이 발생하기도 한다[4].
일산화탄소 중독에 의한 저산소뇌병변이 소뇌에만 국한되어 나타나는 경우는 매우 드물며 또한 이런 경우에 지연뇌병증이 발생한 예는 보고된 바 없다. 이에 저자는 일산화탄소 중독 후 소뇌에만 국한된 뇌병변을 보인 후 회복되었다가 대뇌백질에 지연뇌병증이 발생한 환자를 경험하여 이를 보고하고자 한다.
증 례
50세 여자가 의식이 혼미한 상태로 발견되어 응급실로 이송되었다. 환자는 특이 과거력이 없었으며 내원 전일 24시경에 찜질방에 들어갈 때는 의식이 명료하였으나 당일 14시 40분경 찜질방 1인실에서 번개탄을 피운 채 의식이 저하된 상태로 발견되어 응급실에 15시 44분에 도착하였다. 내원 시 혈압 115/85 mmHg, 맥박 105회/분, 호흡수 18회/분, 체온 37.4℃였다. 의식 상태는 글래스고 혼수 척도 E2M4V2로 혼미한 상태였다. 빛반사와 각막반사는 정상이었다. 통증에 대한 운동 반응과 건반사는 양쪽에서 대칭적으로 나타났으며 소뇌기능은 의식 저하로 확인할 수 없었다.
혈액 검사상 일산화탄소헤모글로빈 농도는 25.5%였다. 그 외 이상 소견으로 혈당 179 mg/dL, 혈액요소질소 32.0 mg/dL, 아스파르테이트아미노전달효소 145 U/L, 알라닌아미노전달효소 60 U/L, 크레아틴키나아제 7,380 U/L, 크레아틴키나아제-MB 34.96 U/L, 젖산염 5.6 mmol/L, C-반응단백 21.45 mg/dL로 증가된 소견을 보였다. 혈색소는 13.3 g/dL, 전해질은 나트륨 144 mmol/L, 칼륨 3.9 mmol/L, 염화물 103 mmol/L, 크레아티닌은 0,85 mg/dL, 트로포닌-T는 0.04 ng/mL로 모두 정상이었다. 심전도, 흉부방사선촬영에서 특이 소견은 없었다.
내원 당일 시행한 확산강조영상에서 양측 소뇌의 수평틈새 인근의 소뇌이랑에 대칭적인 고신호강도의 병변이 관찰되었다(Fig. 1-A). 이 병변은 겉보기확산계수지도영상에서는 저신호강도를 보였고(Fig. 1-B) 액체감쇠역전회복영상에서는 고신호강도를 보였다(Fig. 1-C). 그 외 다른 뇌 부위에서의 병변은 관찰되지 않았다(Fig. 1).
Brain magnetic resonance imaging of a patient with carbon monoxide poisoning. Diffusion-weighted imaging shows hyperintense lesions in the bilateral cerebellum along the horizontal fissure (A), corresponding to hypointensity on the apparent diffusion coefficient map (B), and hyperintensity on the fluid attenuated inversion recovery imaging (C). No abnormal signal changes are observed in other brain regions.
환자는 고압 산소 치료를 5일간 5회 시행받으면서 의식이 점차 회복되었고 혈액 검사의 이상 소견도 호전되었다. 입원 6일째에는 의식이 명료한 상태로 국소신경학적 결손 없이 퇴원하였다.
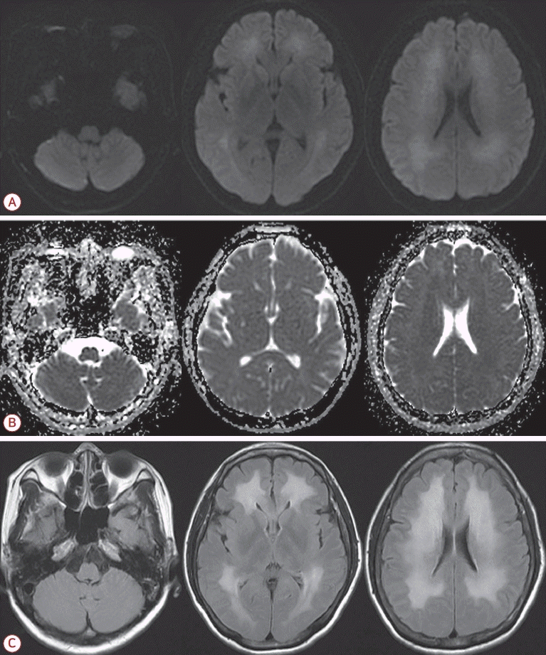
그러나 환자는 퇴원 2주 후부터 말수가 줄어들고 보행이 느려지며 종종걸음을 걷게 되었다. 또한 식사를 잘 하지 않으며 멍하게 있는 모습이 자주 관찰되었다. 이후로도 점차 악화되어 퇴원 3주째에는 자발적 행동이 거의 없어지고 누워 있으려고만 해서 다시 입원하였다. 신경계 진찰상 의식은 각성 상태였지만 말을 하지 않았고 질문에 대답하지 않았으며 명령 수행도 하지 않았다. 간이정신상태 검사(mini-mental state examination)도 시행하였으나 전혀 협조가 되지 않았고 대답도 하지 않아서 평가가 불가능하였다. 근력은 사지 모두 grade 3 정도로 양쪽 팔을 위로 올리는 것과 부축해서 서는 것은 가능하였으나 걷지는 못하였다. 손가락코 검사, 발꿈치정강이 검사, 일자보행 검사 등의 소뇌기능 검사는 협조가 되지 않아서 평가할 수 없었다. 통증 자극에 대한 반응이 양측에서 감소되어 있었고 사지에서 경축(rigidity)이 관찰되었다. 건반사는 사지에서 정상적이었고 바뱅스키징후는 관찰되지 않았다. 자기공명영상에서는 이전의 소뇌의 병변은 사라졌지만 새롭게 양측 피질하백질에 광범위한 고신호강도가 확산강조영상과 액체감쇠역전회복영상에서 관찰되었다(Fig. 2). 자기공명혈관조영 검사에서 뇌혈관의 이상 소견은 없었다.
Follow-up magnetic resonance imaging (MRI) performed 1 month later in the patient who developed delayed encephalopathy. MRI reveals diffuse high signal intensities in the bilateral periventricular white matter on diffusion-weighted imaging (A), with corresponding mixed signal intensities on the apparent diffusion coefficient map (B), and high signal intensities on fluid attenuated inversion recovery imaging (C).
환자는 입원 후 레보도파/카비도파(levodopa/carbidopa) 200/50 mg을 하루에 2회씩 복용하면서 재활 치료도 받았다. 이후로 서서히 행동과 보행이 호전되는 상태로 1개월 후 퇴원하였다. 퇴원 시에는 의사소통이 조금은 가능하여 이름을 말하거나 일부 질문에 고개를 끄덕이는 반응을 하였으나 인지기능평가는 계속 불가능하였다. 사지 근력은 grade 4 정도로 호전되었고 자발적 움직임도 증가하였으며 보행기를 잡고 보행도 가능하였다.
고 찰
본 증례는 일산화탄소 중독의 급성기에 촬영한 뇌자기공명영상에서 소뇌만 침범된 소견이 관찰되었다가 회복된 후 대뇌백질의 병변과 함께 파킨슨증과 무운동무언증 양상의 지연뇌병증이 발생한 환자의 예이다.
일산화탄소 중독 환자의 뇌자기공명영상에서 보이는 가장 흔한 병변 부위는 창백핵(globus pallidus)이며 그 외에 조가비핵(putamen), 백질, 해마 등이 있다. 소뇌를 침범하는 경우는 드물며 그런 경우 심한 중독 환자에서 다른 부위의 뇌병변과 동반되어 나타난다[2,3]. 그러나 본 증례와 같이 다른 부위의 뇌병변을 동반하지 않고 소뇌에만 단독으로 병변을 보이는 경우는 매우 드물게 보고되었다[5-7]. 일산화탄소 중독에 의해서 소뇌가 침범될 때 병변 부위는 주로 수평틈새 주변의 소뇌피질로 보고되었다[5-7]. 본 증례에서는 소뇌피질의 침범 없이 수평틈새 부위만 침범한 소견을 보여주었다. 수평틈새 부위는 전하소뇌동맥과 후하소뇌동맥의 경계 영역에 해당하기 때문에 저산소증에 취약할 수 있다[6].
이렇게 소뇌만 침범한 환자들이 다른 뇌 부위를 침범한 환자들과 비교하여 임상 양상이나 예후가 다른지는 보고된 증례가 많지 않아서 명확히 알 수 없으나 보고된 증례들에서 초기 증상은 대부분 심한 의식 저하였고 고압 산소 요법 치료 후에는 양호하게 회복되는 경과를 보여주었다[4,5]. 그러나 일부 환자에서는 소뇌장애가 남는 경우도 있었다[7]. 본 증례에서도 초기 증상은 심한 의식 저하였고 고압 산소 요법 후 신경계장애 없이 완전히 회복되는 경과를 보여주었다.
그러나 본 증례가 이전의 증례들과 다른 점은 소뇌병변이 관찰된 후 2주 정도 지나서 대뇌백질의 병변과 함께 지연뇌병증이 발생한 점이다. 일반적으로 지연뇌병증은 일산화탄소 급성 중독에서 회복된 후 2-40일 정도의 명료 기간을 지나서 발생할 수 있으며 무운동무언증, 파킨슨증, 정신병적 행동, 언어장애, 불수의운동장애, 우울증 등의 다양한 증상을 보일 수 있다[4]. 지연뇌병증의 기전은 명확히 밝혀지지 않았지만 뇌영상에서 뇌실주위백질과 반난형중심(centrum semiovale)에 고신호강도의 병변을 보이며 병리적으로는 대뇌백질세포의 탈수초화와 축삭돌기의 손상이 나타난다[8]. 백질의 탈수초화의 원인은 일산화탄소에 의해 활성화된 중성구에 의한 지질 과산화와 수초 파괴로 추정되고 있다[3].
이산화탄소 중독 후 지연뇌병증의 발생 빈도는 연구마다 다양하며 발병 예측 인자로는 심한 의식장애, 고령, 고압 산소 요법의 지연 등이 보고되었다[9]. 본 환자에서는 고압 산소 요법은 내원 당일 시행하였으나 연령이 50세로 고령에 해당하였고 의식장애의 정도도 글래스고 혼수 척도 8점으로 심한 상태였다. 급성기 확산강조영상 소견으로 지연뇌병증의 발생을 예측하는 연구들도 있었다. 일부 연구에서 급성 병변의 존재 여부가 지연뇌병증의 발생과 연관성이 있었으나 병변의 특정 위치나 병변 양상과의 연관성은 발견하지 못하였다[10].
환자는 레보도파(levodopa) 복용 후 인지기능와 운동기능이 다소 호전되는 양상을 보였다. 일산화탄소 중독 후 발생한 파킨슨증에 대한 레보도파의 효과는 증례별로 다양하게 보고되었지만 대규모 연구 결과가 없어서 아직 그 효과 여부가 입증되지는 않았다. 또한 지연뇌병증이 자연적으로 회복되는 경우도 대부분(약 75%)이기 때문에 이 증례만으로 레보도파의 효과 여부는 알 수 없다[4].
결론적으로 일산화탄소 중독에 의한 뇌영상 소견은 양측 창백핵을 침범하는 특징적인 소견 외에도 다양한 양상을 보일 수 있으며 드물게 소뇌에만 국한된 병변만 나타날 수도 있다. 그러므로 일산화탄소 노출 병력이 있을 때 환자의 뇌영상에서 양측 소뇌에 국한된 병변이 보일 수 있다는 것을 인지해야 한다. 또한 소뇌만 침범한 일산화탄소 중독 환자인 경우에도 지연뇌병증이 발생할 수 있음을 인지하고 치료해야 한다.