면역관문억제제(immune checkpoint inhibitor, ICI)는 다양한 고형암에서 우수한 치료 효과를 보여 표준 치료로 자리 잡았다. 특히 예정사단백질-1리간드(programmed cell death ligand-1, PD-L1) 억제제인 아테졸리주맙(atezolizumab)은 베바시주맙과의 병합 요법으로 절제 불가능한 간세포암에서 널리 사용되고 있다[1]. 그러나 ICI 사용이 증가함에 따라 다양한 면역 관련 이상 반응(immune-related adverse event, irAE)이 보고되고 있으며 그중 신경계 이상 반응에는 근무력증후군, 근염, 기앵-바레증후군, 뇌신경병증, 수막염, 뇌염 등이 포함된다[2]. 저자들은 장기간 아테졸리주맙과 베바시주맙 병합 요법을 시행한 환자에서 광범위한 미세출혈과 가역 뇌병증이 자기공명영상(magnetic resonance imaging, MRI)에서 관찰된 드문 사례를 보고하고자 한다.
증 례
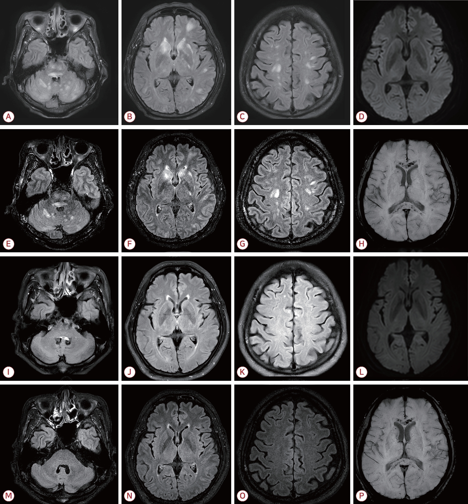
77세 남성이 하루 전부터 시작된 전신 쇠약감과 당일 발생한 의식 혼동을 주소로 응급실에 내원하였다. 환자는 5년 전 간세포암으로 우간 절제술을 받았으며 이후 우측 부신 전이가 확인되어 약 1년 전부터 3주 간격으로 총 17회에 걸쳐 아테졸리주맙과 베바시주맙 병합 요법을 받았고 마지막 투약은 내원 1개월 전이었다. 치료 기간 동안 특이 부작용은 없었으나 이후 추적 영상에서 하대정맥 침범을 동반한 재발과 다발 전이가 관찰되었다. 내원 당시 동공반사는 정상이었고 안구편위는 보이지 않았으며 근력은 정상이었다. 수막자극징후도 보이지 않았다. 혈압은 수축기 혈압이 170 mmHg 내외로 유지되었다. 말초혈액 검사에서 백혈구 3,700/mm3, 혈색소 10.4 g/dL, 혈소판 97,000/mm3로 경도의 범혈구감소증이 있었으며 혈중 암모니아는 135 μg/dL로 상승되어 있었다. 그 외 젖산, 소듐, C-반응단백 등은 정상 범위였고 뇌 computed tomography (CT)에서는 특이 소견이 없었다. 간성 혼수를 의심하여 관장 치료를 시행하였으나 의식 호전이 없어 뇌MRI를 시행하였다. MRI에서 뇌간, 소뇌, 심부회백질, 대뇌피질 및 피질하백질에 다발성 T2고신호강도 병변이 관찰되었고 조영증강액체감쇠역전회복(fluid attenuated inversion recovery, FLAIR)영상에서는 주로 뇌간과 소뇌, 일부 대뇌 반구에 작은 조영증강 결절이 확인되었다. 자화율강조영상(susceptibility weighted image, SWI)에서 뇌량과 양측 피질하백질에 광범위 미세출혈이 확인되었다(Fig. A-H). 뇌 전이 연관 탈수초질환이나 혈관염 가능성을 배제하기 위하여 뇌척수액 검사와 뇌파 검사를 시행하였으며 뇌척수액에서 세포 수 2/mm3, 단백질 92 mg/dL, 포도당 60 mg/dL로 경미한 단백 상승 소견이 있었고 세포 검사에서는 악성세포가 관찰되지 않았다. 항아쿠아포린-4항체, 자가면역항체 및 신생물딸림항체는 모두 음성이었다. 뇌파 검사에서는 전반적인 세타파 및 델타파가 관찰되었으나 뇌전증파는 없었다. 입원 4일째, 우측 반신마비와 발열(38℃)이 발생하여 경험적 항생제 치료를 시작하였다. 스테로이드 치료도 고려되었으나 다음날 의식 수준이 호전되었고 우측 마비도 완전히 회복되었다. 이후 재평가에서 경미한 구음장애가 있었으나 언어 기능은 거의 정상이었으며 입원 기간 동안의 사건전기억상실(retrograde amnesia)을 보였다. 추적 뇌파에서는 정상 배경파를 보였다. 환자는 재활 치료 후 신경계 후유증 없이 퇴원하였다. 퇴원 4개월 후 시행한 추적 MRI에서 대뇌, 뇌간, 소뇌의 다발성 고신호강도 병변은 거의 소실되었으나 광범위 미세출혈은 지속되었다(Fig. I-P).
고 찰
아테졸리주맙은 PD-L1에 선택적으로 결합하여 programmed death-1 (PD-1)/PD-L1 신호전달경로를 차단함으로써 종양세포에 대한 효과기 T세포 매개 살상을 유도한다. 그러나 PD-L1 억제로 인한 면역 조절 기능 저하는 세포독성 T림프구의 과도한 활성과 염증 반응을 유발하여 예기치 않은 irAE를 초래할 수 있다. 이러한 효과는 혈관내피성장인자(vascular endothelial growth factor)에 결합하여 혈관 신생을 억제하고 ICI의 종양 내 약물 전달을 개선하는 베바시주맙 병용 투여에 의하여 더욱 증폭될 수 있다[1]. 실제로 아테졸리주맙과 베바시주맙 병용 요법을 시행한 간세포암 환자에서 뇌염이 다수 보고되었으며[3] 대부분의 경우 뇌MRI에서 양측성 T2강조영상 또는 FLAIR 고신호와 조영증강 소견을 보였다.
기존 보고에 따르면 아테졸리주맙과 베바시주맙 병용 요법 이후 발생하는 뇌염은 대개 치료 초기 수개월 내 발병하며 면역억제 치료가 필요한 경우가 많다[3]. 그러나 본 환자는 치료 11개월째에 증상이 발생하였고 면역억제제 투여 없이 자발적으로 회복되었다는 점에서 전형적인 ICI 유발 뇌염과 차이를 보인다. 또한 가역 뇌병증과 함께 SWI에서 광범위한 미세출혈을 확인한 보고는 기존 ICI 유발 뇌염 관련 문헌에서는 확인되지 않았다.
뇌 미세출혈(cerebral microbleeds)은 노화에서도 관찰되지만 뇌아밀로이드혈관병증, 뇌졸중, 외상 뇌손상 등에서 더 흔히 발견된다. 특히 외상에 의한 광범위 축삭 손상(diffuse axonal injury)에 동반되는 출혈 병변은 주로 뇌량과 회백질-백질 경계 부위에 위치하며 혈관주위공간을 따라 방사상으로 분포하는데 이러한 분포는 본 증례의 소견과 유사하다. 외상 뇌손상에서의 미세출혈은 혈액 뇌장벽(blood brain barrier, BBB) 손상의 영상 표지로 간주되며4 BBB의 주요 구성 요소인 별아교세포(astrocyte)는 뇌 항상성 유지와 신경세포 대사 지원에 중요한 역할을 한다[5]. 성상교세포 중 일부는 PD-L1을 발현하여 PD-1 양성 면역세포의 활성을 억제하고 세포 내 신호를 조절함으로써 과도한 신경면역 및 신경염증 반응을 완화한다. PD-L1 신호를 차단하면 신경염증이 지속되고 대식세포를 포함한 염증세포 침윤이 증가하여 외상 뇌손상 병변이 악화되는 것으로 보고되었다[6]. 또한 PD-L1 양성 별아교세포는 자가면역 신경염증 모델에서 PD-1 양성 미세아교세포의 염증 기능을 억제하는 것으로 알려져 있다[7].
따라서 본 증례에서 관찰된 미만성 미세출혈과 가역 뇌병증은 PD-L1 억제에 따른 별아교세포의 신경면역 조절 기능 저하와 베바시주맙에 의한 내피세포 기능장애가 복합적으로 작용하여 BBB 손상과 미세혈관 손상이 심화된 결과일 가능성이 있다. 아테졸리주맙과 베바시주맙은 각각 ICI 유발 뇌염과 BBB 및 내피세포 손상에 의한 가역후뇌병증(posterior reversible encephalopathy syndrome)을 일으킬 수 있는 약제이므로 두 약제를 병용하는 환자에서 뇌병증이 발생한 경우 두 가지 병태를 모두 감별하는 것이 중요하다. 특히 두 약제가 BBB 손상을 상호 증폭시킬 가능성을 고려하여야 하며 SWI 촬영은 미세출혈을 포함한 비전형적 병태를 조기 발견하고 병태생리를 이해하는 데 유용하다. 본 증례는 기존 ICI 유발 뇌염과는 다른 양상의 뇌병증 가능성을 시사하며 아테졸리주맙-베바시주맙 병용 환자에서의 진단 및 치료 전략 수립에 참고가 될 수 있다.
그러나 본 증례에서는 말이집희소돌기아교세포당단백(myelin oligodendrocyte glycoprotein, MOG)항체 검사를 확인하지 못하여 항MOG항체연관질환(MOG associated disease)를 포함한 탈수초 질환을 완전히 배제할 수 없다는 점이 중요한 한계로 남는다. 향후 유사한 사례에서는 MOG항체 검사를 포함한 면역 검사가 필수적으로 고려되어야 한다.


PDF Links
PubReader
ePub Link
Full text via DOI
Download Citation
Print




