혈관인지장애로 내원한 골수세포과산화효소-항중성구세포질항체 연관다발혈관염 환자

Myeloperoxidase-Antineutrophil Cytoplasmic Antibody-associated Vasculitis Presenting with Vascular Cognitive Impairment

Article information

J Korean Neurol Assoc. 2025;43(4):278-283
Publication date (electronic) : November 1, 2025
doi : http://dx.doi.org/10.17340/jkna.2025.0025
Department of Neurology, Jeju National University College of Medicine, Jeju, Korea
이정석
제주대학교 의과대학 신경과학교실
Address for correspondence Jung Seok Lee, MD, PhD Department of Neurology, Jeju National University College of Medicine, 15 Aran 13- gil, Jeju 63241, Korea Tel: +82-64-754-8178 Fax: +82-64-717-1630 E-mail: nrlee71@naver.com
received : June 13, 2025 , rev-recd : July 7, 2025 , accepted : July 8, 2025 .

Trans Abstract

A 67-year-old woman with myeloperoxidase (MPO)-antineutrophil cytoplasmic antibody (ANCA)-associated vasculitis presented with progressive cognitive decline and was diagnosed with amnestic mild cognitive impairment. Brain magnetic resonance imaging (MRI) revealed chronic infarcts consistent with cerebral small vessel disease. Although conventional vascular risk factors were present, they were insufficient to fully account for the imaging and clinical findings. This case suggests that MPO-ANCA-associated vasculitis should be considered in the differential diagnosis of patients presenting with vascular cognitive impairment, particularly in the presence of systemic inflammatory features.

골수세포과산화효소(myeloperoxidase, MPO)-항중성구세포질항체(anti-neutrophilic cytoplasmic antibody, ANCA) 연관다발혈관염은 호중구 MPO항원에 대한 특이적인 항체인 MPO-ANCA가 양성인 혈청 진단명이다[1]. 임상-병리 기반의 진단명인 미세다발혈관염(microscopic polyangitis) 환자의 95-100%, 호산구육아종다발혈관염(eosinophilic granulomatosis with polyangitis) 환자의 30-40%가 MPO-ANCA 양성을 보인다[2]. ANCA연관다발혈관염에는 MPO-ANCA연관다발혈관염 이외에 proteinase 3 (PR3)-ANCA연관다발혈관염이 있는데 육아종다발혈관염(granulomatosis with polyangitis) 환자의 대다수가 PR3-ANCA 양성을 보인다. 최근 연구들은 혈청 진단을 중요시하는데 유전 연관성, 임상 양상, 질병의 진행 과정, 리툭시맙 등 면역 치료의 반응에 대한 예측에서 혈청 진단이 기존의 임상적 진단보다 훨씬 도움이 되기 때문이다[3].

최근 ANCA연관다발혈관염 환자는 일반인보다 뇌경색 발생률이 1.8-10.0배 가까이 높다는 보고가 있다[4-6]. MPO-ANCA 연관다발혈관염은 아시아에서 흔하며[1] 병리 특성상 만성적인 경과를 보이면서 혈관 내피 손상과 혈전 형성을 유발하여 뇌졸중 발생률이 PR3-ANCA연관다발혈관염보다 높다[7]. 뇌졸중 발생 시 만성적인 경과를 보이면서 일부 신경계 증상과 혈관인지장애(vascular cognitive impairment, VCI)로[8] 내원하는 경우가 있는데 국내에서는 아직 이에 대한 보고가 없어서 이를 보고하고자 한다.

증 례

67세 여자 환자가 6개월 전부터 심화된 기억력장애를 주소로 2024년 7월 병원을 방문하였다. 음주와 흡연은 하지 않았고 10개월 전에 발생한 고혈압으로 투약 중이었다. 가족력에서 특이 소견은 없었다. 환자는 13년 전에 장기간 기침 후 객혈이 있었던 적이 있었으며 8년 전 기침이 심해지고 이비인후과에서 부비동염 진단을 받은 바 있다. 11개월 전 두통과 종아리 부위 근육통을 주소로 신경과에 내원하였고 당시 시행된 뇌자기공명영상(magnetic resonance imaging, MRI)과 뇌자기공명혈관조영(magnetic resonance angiography, MRA)을 시행하였으며 특이 소견은 없었고(Fig. 1) 신경전도 검사에서 신경병증의 전기생리학적 증거도 없었다. 내원 10개월 전 3주 동안 지속되고 있는 기침, 기침 시 심한 흉통, 양측 종아리 부위 통증, 양측 발등의 발열감, 간헐적 두통, 발열을 주소로 응급실에 내원하였고 류마티스내과 입원 후 혈액 검사에서 MPO-ANCA 135 IU/mL, 백혈구 7,700/μL, 호산구(eosinophil) 백분율은 0.9%로 임상적으로는 미세다발혈관염인 MPO-ANCA연관 다발혈관염으로 진단되었다. 그 이후 타 병원에서 싸이클로포스파마이드(cyclophosphamide)와 고용량 스테로이드 병합 치료 중이었다.

Figure 1.

Brain MRI performed prior to the diagnosis of MPO-ANCA-associated vasculitis demonstrates no abnormal signal on FLAIR images (A-C) or T1-weighted images (D-F). Magnetic resonance angiography (MRA) reveals no significant stenosis or vascular abnormality on carotid MRA (G) or intracranial MRA (H-I). MRI; magnetic resonance imaging, MPO; myeloperoxidase, ANCA; antineutrophil cytoplasmic antibody, FLAIR; fluid attenuated inversion recovery.

환자는 6년 학력이었으며 2024년 8월에 시행된 서울신경 심리선별종합검사(Seoul Neuropsychological Screening Battery, SNSB) 결과 기억력, 전두엽기능 그리고 시공간 인지기능의 저하 소견을 보이는 다영역, 기억상실형 경도인지장애(amnestic mild cognitive impairment [MCI], multiple domain) 상태였다. 간이정신상태 검사(mini-mental state examination, MMSE) 점수는 25점, 임상치매평가척도(clinical dementia rating, CDR)는 0.5단계, CDR-sum of box (SB)는 2.5점이었다. SNSB-dementia version (SNSB-D)의 종합 점수(composite score)는 106점이었다. 2024년 8월 시행된 뇌MRI에서 좌측 해마(hippocampus)와 해마곁이랑(parahippocampal gyrus), 좌측 후두엽(occipital lobe), 양측 소뇌(cerebellum)에서 만성 뇌경색 소견을 보였으며 뇌MRA는 정상이었다(Fig. 2-A-F). 심전도와 24시간 홀터 검사 소견은 정상이었다. 환자에게 아스피린과 뇌활성화제를 처방하였으며 뇌 병변의 변화를 확인하기 위하여 2025년 5월 뇌MRI를 재시행하였고 특별한 변화는 없었다(Fig. 2-G-I). 2025년 5월에 시행된 SNSB 검사상 기억력, 집중력 그리고 시공간 인지기능의 저하 소견을 보이는 amnestic MCI, multiple domain 상태였으며 MMSE 점수는 25점, CDR은 0.5단계, CDR-SB는 2.5점이었다. SNSB-D의 종합 점수는 138점으로 전반적인 인지기능의 호전 소견을 보였다(Fig. 3).

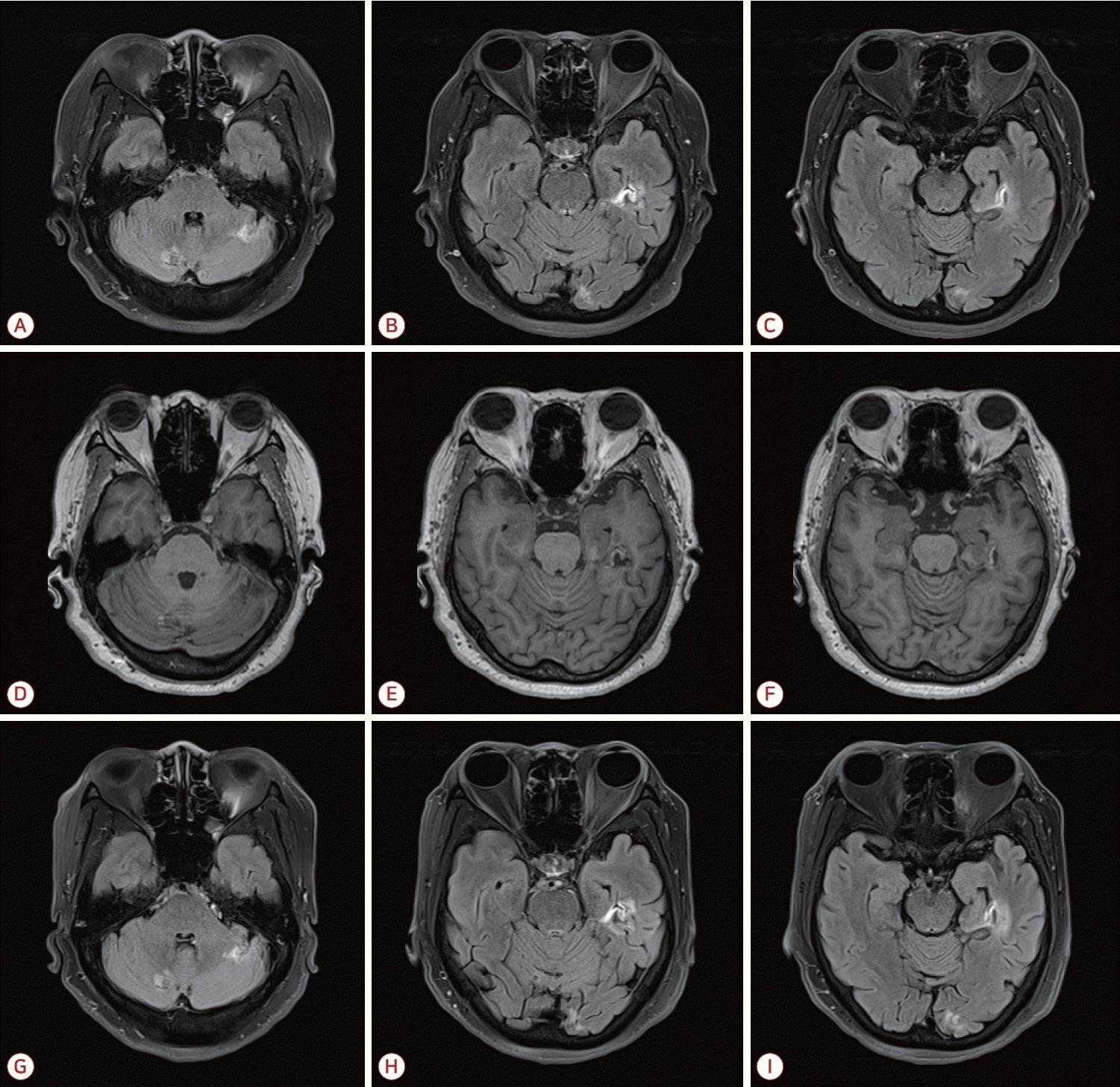
Figure 2.

MRI at the time of diagnosis of vascular cognitive impairment secondary to MPO-ANCA-associated vasculitis demonstrates hyper-intensities in both cerebellar hemispheres (A) and the left parahippocampal and occipital gyri (B-C) on FLAIR images, with corresponding hypo-intensities in the same regions on T1-weighted images (D-F). Follow-up FLAIR images obtained 8 months later (G-I) show no interval change. MRI; magnetic resonance imaging, MPO; myeloperoxidase, ANCA; antineutrophil cytoplasmic antibody, FLAIR; fluid attenuated inversion recovery.

Figure 3.

Serial SNSB testing revealed cognitive improvement across multiple domains over a 9-month period. The percentile scores for frontal/executive function increased markedly from 12% to 40%, and memory from 1% to 15%. Language function improved from 25% to 33%, and visuospatial function from 2% to 9%. In contrast, attention declined from 16% to 6%. These findings suggest domain-specific cognitive changes, with notable recovery in frontal and memory functions. SNSB; Seoul Neuropsychological Screening Battery.

고 찰

대뇌소혈관질환(cerebral small vessel disease)은 뇌의 소동맥(small arteries), 세동맥(arterioles), 세정맥(venules), 모세혈관(capillaries) 부위를 침범하며 다양한 병인에 의하여 유발되는 질환이다. 뇌영상 소견에서 열공경색, 대뇌백질 병변, 뇌미세출혈과 뇌출혈 병변을 보이며 고혈압, 당뇨, 고지혈증과 같은 동맥경화 병변과 아밀로이드 혈관병증이 가장 흔한 원인이지만 카다실(cerebral autosomal dominant arteriopathy with subcortical ischemic strokes and leukoencephalopathy, CADASIL)과 같은 유전대뇌소혈관질환도 있으며 본 증례와 같이 염증성 및 면역 매개 대뇌소혈관질환도 있을 수 있다[9].

VCI에 대하여 2018년에 표준화를 위한 구체적인 지침(vascular impairment of cognition classification consensus study, VICCCS-2)이 발표되었다. 기억력, 전두엽기능, 집중력, 시공간 인지기능과 언어 기능이 평가되어야 하며 5가지 인지기능 영역 중 1가지 이상 영역에서 저하 소견이 있으면서 도구일상활동(instrumental activities of daily living, IADLs)이나 일상활동(activities of daily living, ADLs)의 손상이 경미하거나 없는 경우 경도혈관인지장애(mild VCI)로 진단된다. IADL이나 일상생활에 심한 저하가 있는 경우는 주요혈관인지장애(major VCI)로 진단되는데 이러한 경우 ADL의 심한 저하가 뇌혈관 병변에 의한 운동 및 감각기능의 소실과 관련이 없어야 한다. 또한 VCI는 인지기능 저하가 혈관 문제 발생 이후 6개월 이상 지속되어야 한다고 정의하고 있다[8]. 본 증례는 상기 지침에 따라 경도혈관인지장애로 정의된다. 본 증례에서는 알츠하이머병에 의한 경도인지장애 가능성을 배제하기 위한 뇌영상 기반 및 혈액 기반 바이오마커 검사가 시행되지 않았다. 임상 경과상 경도혈관인지장애에 부합하는 양상을 보였으나 알츠하이머병 관련 바이오마커의 존재 여부 및 이에 따른 임상적 영향은 확인할 수 없었다.

MPO-ANCA연관혈관염은 첫째, 평상시 호중구의 과립 내에 존재하는 MPO항원이 체내의 염증성 반응으로 인하여 호중구가 준비 활성화될 때(priming) 호중구의 세포 표면 이동, 둘째, 정상 ANCA와 달리 유전적, 면역학적, 환경적 원인으로 인하여 MPO항원에 특이적으로 반응하는 병적 ANCA항체가 발생하여 호중구 표면에서 MPO-ANCA항체 결합, 셋째, 호중구의 과활성화가 일어나서 염증 물질 분비, 넷째, 혈관내피세포의 밀착 연접(tight junction) 파괴, 다섯째, 과활성화된 호중구가 혈관 내피세포를 통하여 간질 조직으로 이동하면서 발생하게 된다[10]. ANCA연관혈관염에서 신경계 이환은 신장 이환(약 80%), 폐이환(약 50%)에 이어 3번째로 흔하다[3]. 신경계 이환 중 제일 빈도가 높은 것은 신경병증(neuropathy)이지만 ANCA연관다발혈관염 환자의 5-8%가 뇌졸중이 발생하는 것으로 보고되고 있으며[4-6] 한국에서 시행된 연구에 따르면 일반인과 비교 시 뇌졸중 발생률이 8-10배 높았다[4,5]. 뇌졸중 발생은 약 70%의 환자에서 ANCA연관다발혈관염 진단 후 1년 이내에 발생하며 일단 뇌졸중이 발생하면 뇌졸중 재발의 독립적인 예측 인자가 된다[4,5].

본 증례에서 환자는 MPO-ANCA연관혈관염 진단 후 기억력장애까지 4개월 정도 걸렸으며 기억력장애가 좌측 해마와 해마곁이랑의 뇌경색 병변과 연관성이 있을 것으로 사료되므로 MPO-ANCA연관혈관염 환자의 뇌졸중 발생의 특성과 일치한다. 환자는 혈관염 발생 시기에 고혈압이 진단되었고 항고혈압제 투약 후 혈압이 안정적으로 조절되고 있었다. 따라서 고혈압이 뇌경색의 원인일 가능성은 낮으며 더구나 비대칭적인 4곳의 뇌경색은 염증 원인일 가능성을 더 시사하고 있다. 환자가 정상 뇌MRA 소견을 보이므로 MPO-ANCA연관혈관염에 의한 대뇌소혈관질환이 뇌경색과 VCI의 원인으로 사료된다. ANCA연관다발혈관염은 고용량 스테로이드와 cyclophosphamide의 병합 치료의 도입 이후 진단 1년 후 80%였던 사망률이 5년 생존률 72%로 변하면서 조절 가능한 만성 질환으로 변화하였다[6]. 따라서 이전과 달리 신경과 뇌졸중 클리닉이나 인지장애 클리닉에서 다수의 환자들을 볼 수 있다. 특히 한국인 건강보험 데이터를 기반으로 한 연구는 MPO-ANCA연관다발혈관염 환자의 경우 진단 후 9년 정도 지나면 환자의 약 20%에서 뇌졸중이 발생하는 것을 보여준다[4]. 급성 뇌졸중으로 응급실을 방문하지 않는 경우 신경과 기억장애 클리닉에 VCI 환자로 방문하게 되는데 일반적인 혈관위험인자를 가지는 대뇌소혈관질환 환자와 달리 MPO-ANCA연관다발혈관염 환자는 질병의 재발 시 신장과 폐로 이환되며 위중한 상태로 진행할 수 있다.

본 증례에서 첫 진단 약 9개월 후에 뇌MRI와 SNSB가 재시행되었다. 뇌MRI에서 뇌경색의 재발이 없고 다른 대뇌소혈관에 대한 표지 인자의 악화도 없었다. 환자는 경도혈관인지장애 상태였으나 전두엽 기능은 정상으로 회복되었고 기억력도 뚜렷한 회복을 보였다. 이는 뇌경색의 재발이 없는 경우 VCI 환자의 뇌가소성을 보여주는 증례이다.

대뇌소혈관질환에 의한 VCI는 신경과 외래에서 흔히 볼 수 있는 질환이며 고혈압 등 전통적인 혈관위험인자에 의한 경우도 있지만 아밀로이드혈관 병증, CADASIL 등도 원인이 될 수 있으며 신장과 폐 이상이 동반되면서 VCI가 있는 경우 ANCA 연관다발혈관염도 감별 진단에 반드시 고려해야 한다.

Notes

ACKNOWLEDGEMENTS

This work was supported by the 2025 Education, Research, and Student Guidance Grant funded by Jeju National University.

References

1. Arnold S, Kitching AR, Witko-Sarsat V, Wiech T, Specks U, Klapa S, et al. Myeloperoxidase-specific antineutrophil cytoplasmic antibody-associated vasculitis. Lancet Rheumatol 2024;6:e300–e313.
2. Rathmann J, Segelmark M, Mohammad AJ. Evaluation of the ACR/EULAR 2022 criteria for classification of ANCA-associated vasculitis in a population-based cohort from Sweden. Rheumatology (Oxford) 2024;63:1965–1972.
3. Kronbichler A, Bajema IM, Bruchfeld A, Kirsztajn GM, Stone JH. Diagnosis and management of ANCA-associated vasculitis. Lancet 2024;403:683–698.
4. Ahn SS, Han MK, Yoo JY, Park YB, Jung IK, Lee SW. Risk of stroke in systemic necrotizing vasculitis: a nationwide study using the National Claims Database. Front Immunol 2021;12:629902.
5. Ha JW, Heo JN, Pyo JY, Ahn SS, Song JS, Park YB, et al. Acute brain infarction in antineutrophil cytoplasmic antibody-associated vasculitis: a Korean single-center study. J Clin Rheumatol 2023;29:217–222.
6. Tabakovic D, Smith R, Jayne D, Mohammad AJ. High risk of stroke in ANCA-associated vasculitis - a population-based study. Rheumatology (Oxford) 2023;62:2806–2812.
7. Ito Y, Suzuki K, Yamazaki T, Yoshizawa T, Ohkoshi N, Matsumura A. ANCA-associated vasculitis (AAV) causing bilateral cerebral infarction and subsequent intracerebral hemorrhage without renal and respiratory dysfunction. J Neurol Sci 2006;240:99–101.
8. Skrobot OA, Black SE, Chen C, DeCarli C, Erkinjuntti T, Ford GA, et al. Progress toward standardized diagnosis of vascular cognitive impairment: guidelines from the vascular impairment of cognition classification consensus study. Alzheimers Dement 2018;14:280–292.
9. Pantoni L. Cerebral small vessel disease: from pathogenesis and clinical characteristics to therapeutic challenges. Lancet Neurol 2010;9:689–701.
10. Kitching AR, Anders HJ, Basu N, Brouwer E, Gordon J, Jayne DR, et al. ANCA-associtated vasculitis. Nature Reviews Disease Primers 2020;6:71.

Article information Continued

Figure 1.

Brain MRI performed prior to the diagnosis of MPO-ANCA-associated vasculitis demonstrates no abnormal signal on FLAIR images (A-C) or T1-weighted images (D-F). Magnetic resonance angiography (MRA) reveals no significant stenosis or vascular abnormality on carotid MRA (G) or intracranial MRA (H-I). MRI; magnetic resonance imaging, MPO; myeloperoxidase, ANCA; antineutrophil cytoplasmic antibody, FLAIR; fluid attenuated inversion recovery.

Figure 2.

MRI at the time of diagnosis of vascular cognitive impairment secondary to MPO-ANCA-associated vasculitis demonstrates hyper-intensities in both cerebellar hemispheres (A) and the left parahippocampal and occipital gyri (B-C) on FLAIR images, with corresponding hypo-intensities in the same regions on T1-weighted images (D-F). Follow-up FLAIR images obtained 8 months later (G-I) show no interval change. MRI; magnetic resonance imaging, MPO; myeloperoxidase, ANCA; antineutrophil cytoplasmic antibody, FLAIR; fluid attenuated inversion recovery.

Figure 3.

Serial SNSB testing revealed cognitive improvement across multiple domains over a 9-month period. The percentile scores for frontal/executive function increased markedly from 12% to 40%, and memory from 1% to 15%. Language function improved from 25% to 33%, and visuospatial function from 2% to 9%. In contrast, attention declined from 16% to 6%. These findings suggest domain-specific cognitive changes, with notable recovery in frontal and memory functions. SNSB; Seoul Neuropsychological Screening Battery.