복합 대동맥궁 병리에 의한 재발 뇌졸중의 단계적 하이브리드 재혈관 치료

Staged Hybrid Revascularization for Recurrent Stroke in Complex Aortic Arch Pathology

Article information

J Korean Neurol Assoc. 2025;43(4):268-273
Publication date (electronic) : November 1, 2025
doi : http://dx.doi.org/10.17340/jkna.2025.0041
Department of Neurology, Korea University Anam Hospital, Korea University College of Medicine, Seoul, Korea
강현우, 조경희
고려대학교 의과대학 고려대학교안암병원 신경과
Address for correspondence Kyung-Hee Cho, MD, PhD Department of Neurology, Korea University Anam Hospital, Korea University College of Medicine, 73 Goryeodae-ro, Seongbuk-gu, Seoul 02841, Korea Tel: +82-2-2286-1546 Fax: +82-2-920-6838 E-mail: kh.cho.neuro@gmail.com
received : September 5, 2025 , rev-recd : September 18, 2025 , accepted : September 18, 2025 .

Trans Abstract

Aortic arch atherosclerosis is an important source of ischemic stroke. A 73-year-old man had recurrent strokes over 3 months. Imaging showed 76.7% left internal carotid artery stenosis, a bovine arch, a brachiocephalic aneurysm, and a 7 mm high-risk arch plaque. Despite carotid endarterectomy with medical therapy, infarctions recurred. A staged hybrid approach, partial debranching surgery followed by endovascular stent grafting, was performed. No further strokes occurred. This case underscores the importance of evaluating aortic arch pathology and suggests hybrid revascularization can be effective.

대동맥궁 죽상경화는 허혈뇌졸중의 주요 원인 중 하나이며 특히 고위험 죽경화판이 동반될 경우 뇌경색의 재발 위험이 높다[1,2]. 본 증례에서는 고혈압, 당뇨, 협심증을 가진 73세 남성이 3개월 동안 재발하는 허혈뇌졸중을 겪은 사례를 보고하고자 한다. 영상 검사에서 좌측 근위부 경동맥의 76.7% North American symptomatic carotid endarterectomy trial (NASCET) criteria 협착이 확인되었으며 보바인형 대동맥궁(bovine arch) 변이와 팔머리동맥에 동맥류가 확인되었다. 환자는 초기 좌측 경동맥내막절제술(carotid endarterectomy, CEA)과 이중항혈소판 요법에도 불구하고 다혈관영역뇌경색이 재발하였다. 이후 식도경유심초음파에서 대동맥궁 궤양성(ulcerative) 죽경화판이 확인되었으며 다학제 협의를 통해 부분 디브랜칭 수술과 혈관 내 스텐트이식편 삽입을 단계적으로 시행하였다. 이후 뇌졸중의 재발은 없었다. 본 증례는 복합 대동맥궁 병리를 가진 환자에게 하이브리드 치료 전략이 효과적인 대안이 될 수 있음을 보여준다[1-3].

증 례

73세 남자가 최근 3개월간 반복적인 허혈뇌졸중으로 내원하였다. 환자는 고혈압, 당뇨, 안정협심증의 기저 질환을 가지고 있었다. 초기 뇌자기공명영상(magnetic resonance [MR] imaging)에서 좌측 대뇌반구와 우측 소뇌에 다발성 허혈 병변이 관찰되었으며(Fig. 1-A) 혈관 검사에서는 좌측 내경동맥근위부(internal carotid artery, ICA)에 76.7%의 협착(NASCET 기준)이 확인되었고 동시에 보바인형 대동맥궁(bovine arch, 공통 기시형 변이)이 관찰되었다(Fig. 1-B). 이에 따라 증상성 중증도 이상의 ICA 협착으로 판단하여 좌측 CEA와 이중 항혈소판 요법이 시행되었다. 그러나 시술 2개월 후에 우측 후 대뇌동맥(posterior cerebral artery, PCA)과 우측 중대뇌동맥(middle cerebral artery, MCA) 영역에 재발성 뇌경색이 발생하였고(Fig. 2-A) 한 달 후에는 좌측 MCA와 PCA 영역에 새로운 뇌경색이 재발하였다(Fig. 2-B). 기존에 진행되었던 두개경유도플러 검사에서 심방중격 결손이나 미세색전 신호를 시사하는 소견은 확인되지 않았고 흉부경유심초음파에서 좌심실 박출률은 정상 범위었으며 3일의 홀터 모니터링에서도 심방세동은 관찰되지 않아 심장성 색전은 배제하였다. 반복되는 색전성 병변의 원인을 찾기 위하여 식도유심초음파(transesophageal echocardiography, TEE)가 진행되었으며 대동맥궁 대만부(greater curvature)에 위치한 7 mm 크기의 궤양성(ulcerated), 유동성(mobile)의 고위험 죽경화판(high-risk aortic arch plaque)이 관찰되었다(Fig. 2-C). 추가적인 머리 혈관조영에서는 기존에 확인되었던 좌측 경동맥의 중증도 협착은 호전 상태를 보였으며 보바인형 대동맥궁 및 팔머리동맥에 동맥류성 확장(aneurysmal dilatation)을 확인할 수 있었다(Fig. 3-A). 이에 신경과, 순환기내과, 영상의학과, 심장혈관흉부외과가 포함된 다학제 협의를 통해 단계적 하이브리드 치료가 결정되었다. 첫 번째 단계로 부분 디브랜칭 수술(좌쇄골하-좌총경동맥우회술[partial debranching surgery, left subclavian-left common carotid artery bypass])이 시행되었다. 수술 한 달 후에 팔머리동맥에 스텐트이식편(endovascular brachiocephalic stent-graft)을 삽입하여 팔머리동맥류의 병적 분절을 제거하였다(Fig. 3-B, C). 스텐트 시술 이후 약 1년 6개월이 지난 현재까지도 환자는 지속적으로 이중항혈소판 요법을 유지하면서 추가적인 허혈 사건 없이 안정적으로 추적 관찰 중이다.

Figure 1.

(A) Initial brain MR imaging showing multiple small acute ischemic lesions in the left cerebral hemisphere and right cerebellum. (B) Initial MR angiography demonstrating 76.7% stenosis (as calculated in NASCET) of the left proximal internal carotid artery (red arrows) and bovine aortic arch (white arrow). MR; magnetic resonance, NASCET; North American symptomatic carotid endarterectomy trial, MRI; MR imaging.

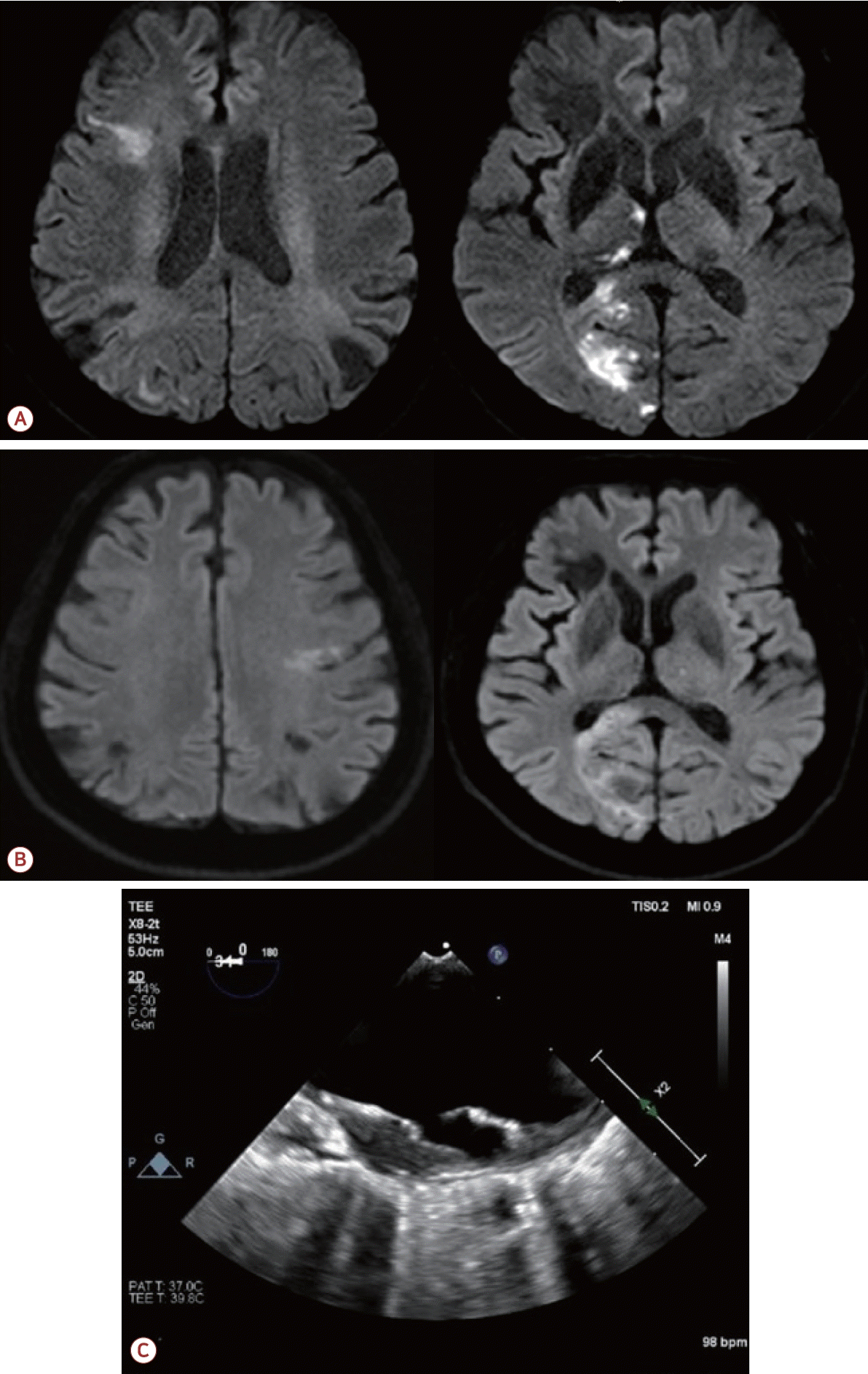
Figure 2.

(A) Two-month follow-up brain MRI showing recurrent cerebral infarction of right PCA and right MCA territories. (B) Subsequent brain MRI showing new infarctions in the left MCA and right PCA territories. (C) TEE revealing a 7 mm mobile ulcerative plaque at the greater curvature of the aortic arch. MRI; magnetic resonance imaging, PCA; posterior cerebral artery, MCA; middle cerebral artery, TEE; transesophageal echocardiography.

Figure 3.

(A) Additional MR angiography showing the improvement in the previously identified severe stenosis of the left ICA (red arrow) with bovine type aortic arch and brachiocephalic aneurysmal dilatation (white arrows). (B) Angiography imaging showing the debranching status (white arrow) and stent-grafting (red arrow) in the brachiocephalic artery aneurysm. (C) Computed tomography angiography demonstrating the complete revascularization following partial debranching surgery (left subclavian to left common carotid artery bypass) and endovascular stent-graft replacement in the brachiocephalic artery. MR; magnetic resonance, ICA; internal carotid artery.

고 찰

본 증례는 보바인형 대동맥궁 변이[4], 팔머리동맥 동맥류, 궤양성, 유동성의 대동맥궁 죽경화판이 동시에 존재하는 복합 병리에서 재발성 다혈관영역 허혈뇌졸중이 발생할 수 있음을 보여준다. 대동맥궁 죽경화판(aortic arch atherosclerosis)은 뇌졸중의 주요 원인으로 특히 두께가 4 mm 이상이거나 궤양성(ulcerative) 또는 가동성(mobile) 형태의 죽경호판은 고위험 병변으로 분류되어 재발성 색전의 주요 원인이 된다[5,6]. ARCH trial 및 최신 지견에 따르면 항혈소판제와 항응고제 간에 명확한 우월성은 입증되지 않았으며[1,3] 이러한 고위험 병변이 존재할 경우 약물 치료만으로는 충분한 예방 효과를 기대하기 어려울 수 있으나 수술 시 뇌졸중의 위험이 높다고 알려져 있다[6].

또한 보바인형 대동맥궁은 대동맥궁 변이의 가장 흔한 변이 중 하나로 관찰되며[4] 혈관 내 시술이나 수술적 접근을 어렵게 하고 혈류역학적 변화로 인하여 죽상경화의 진행을 가속화하거나 색전 발생 위험을 증가시킬 수 있다. 보바인형 대동맥궁은 해부학적 특성상 혈류역학적 변화가 다양하고 시술 접근의 난이도 증가를 유발하여 색전 위험을 높일 수 있으며 관찰 연구에서는 좌측 전순환 우세의 색전성 뇌경색과의 연관이 제시되어 왔다[7]. 팔머리동맥 동맥류 또한 드물지만 잠재적으로 색전의 원인이 될 수 있으며 대동맥궁 죽경화판과 결합될 경우 뇌졸중 위험이 더욱 증가한다[2,3]. 따라서 본 증례와 같이 복합적인 병리 상황에서는 단일 치료 접근법으로는 충분하지 않을 수 있다.

본 증례의 환자는 초기 검사에서 좌측 내경동맥 협착(76.7%, NASCET 기준)이 발견되어 CEA와 이중항혈소판 요법을 시행하였다. 그러나 이후에도 다혈관영역 뇌경색이 재발하였다. 이는 초기 치료가 경동맥 협착만을 표적으로 하였고 실제 주요 색전 원인이었던 대동맥궁 고위험 죽경화판과 팔머리동맥 동맥류를 동시에 해결하지 못하였기 때문으로 해석할 수 있다. 본 증례의 환자에서 초기에 좌측 MCA 영역뿐만 아니라 우측 소뇌 반구에서도 국소적인 뇌경색 병변이 확인되었으며 심장성 색전증이 배제된 점을 고려할 때 초기 단계부터 경동맥 병변 이외에 근위대동맥, 대동맥궁 기원 등의 원인에 대해서 포괄적 접근이 필요하였을 것으로 보인다. 따라서 본 증례는 향후 유사 환자에서 초기 치료 단계부터 대동맥궁 병리와 해부 구조 변이를 종합적으로 평가하고 필요시 조기에 하이브리드 치료법을 고려해야 함을 시사한다.

하이브리드 접근법은 수술적 우회술과 혈관 내 치료를 결합하여 각각의 장점을 극대화하는 방식이다. 본 증례에서는 1단계로 부분 좌쇄골하-좌총경동맥우회술(partial debranching surgery)을 통해 뇌혈류를 확보하였고 수술 한 달 후 2단계로 팔머리동맥에 스텐트이식편을 삽입하여 동맥류와 죽경화판을 제거하였다. 이러한 단계적 치료를 통해 수술이나 단독 혈관 내 치료만으로는 얻기 어려운 효과를 얻을 수 있었다.

앞으로의 과제는 첫째, 복합 대동맥궁 병리를 가진 뇌졸중 환자에서 조기 영상 검사의 표준화와 고위험 병변의 명확한 정의가 필요하다. 현재는 두께(≥4 mm), 궤양성, 가동성 등 위험 기준을 과거 ARCH trial에 의존하고 있지만 표준 검사법(TEE, computed tomography angiography, 3D vessel wall MR angiography)의 우월성 비교 및 죽경화판의 부피 측정, 인공지능 기반 영상 정량화를 통해 고위험 병변에 대한 새로운 정의가 확립될 수 있을 것이다[8,10]. 둘째, 고위험 대동맥궁 죽경화판을 가진 환자에게 항혈소판제 또는 항응고제의 표준 치료 전략과 수술 및 혈관 내 치료의 적절한 시기에 대한 추가 연구가 요구된다. 셋째, 이러한 시술 혹은 수술을 받은 환자들의 장기 추적 관찰을 통해 스텐트 개통성 유지율과 재발 예방 효과를 검증해야 한다. 이와 같은 근거가 축적된다면 향후 유사한 환자에게 하이브리드 치료 전략이 보다 확립된 표준 치료로 자리 잡을 수 있을 것이다. 마지막으로 해부 구조 변이가 동반된 환자의 경우 조기 진단을 위한 적극적 검사와 다학제적 접근을 통해 다양한 치료 전략을 적극적으로 고려하는 것이 중요할 수 있다.

Notes

ACKNOWLEDGEMENTS

The authors have no potential conflicts of interest to disclose.

References

1. Amarenco P, Davis S, Jones EF, Cohen AA, Heiss WD, Kaste M, et al. Clopidogrel plus aspirin versus warfarin in patients with stroke and aortic arch plaques. Stroke 2014;45:1248–1257.
2. Elefteriades JA, Farkas EA. Thoracic aortic aneurysm: clinically pertinent controversies and uncertainties. J Am Coll Cardiol 2010;55:841–857.
3. Isselbacher EM, Preventza O, Black 3rd JH, Augoustides JG, Beck AW, Bolen MA, et al. 2022 ACC/AHA guideline for the diagnosis and management of aortic disease: a report of the American Heart Association/American College of Cardiology Joint Committee on clinical practice guidelines. Circulation 2022;146:e334–e482.
4. Layton KF, Kallmes DF, Cloft HJ, Lindell EP, Cox VS. Bovine aortic arch variant in humans: clarification of a common misnomer. AJNR Am J Neuroradiol 2006;27:1541–1545.
5. Amarenco P, Duyckaerts C, Tzourio C, Hénin D, Bousser MG, Hauw JJ. The prevalence of ulcerated plaques in the aortic arch in patients with stroke. N Engl J Med 1992;326:221–225.
6. Amarenco P, Cohen A, Tzourio C, Bertrand B, Hommel M, Besson G, et al. Atherosclerotic disease of the aortic arch and the risk of ischemic stroke. N Engl J Med 1994;331:1474–1479.
7. Matakas JD, Gold MM, Sterman J, Haramati LB, Allen MT, Labovitz D, et al. Bovine aortic arch configuration is associated with left hemispheric laterality of cardioembolic stroke. J Am Heart Assoc 2020;9:e015390.
8. Sakai Y, Cao Q, Rubin J, Witsch J, Cohen-Addad D, de Macedo Rodrigues K, et al. Imaging biomarkers and prevalence of complex aortic plaque in cryptogenic stroke: a systematic review. J Am Heart Assoc 2023;12:e031797.
9. Viedma-Guiard E, Guidoux C, Amarenco P, Meseguer E. Aortic sources of embolism. Front Neurol 2021;11:606663.
10. Bang HJ, Park JH, Chae SG, Bae SJ, Jung JH, Cho YH, et al. Automatic quantitative analysis of atherosclerotic aortic plaques in patients with embolic cerebral infarction using deep learning. Korean J Intern Med 2025;40:767–779.

Article information Continued

Figure 1.

(A) Initial brain MR imaging showing multiple small acute ischemic lesions in the left cerebral hemisphere and right cerebellum. (B) Initial MR angiography demonstrating 76.7% stenosis (as calculated in NASCET) of the left proximal internal carotid artery (red arrows) and bovine aortic arch (white arrow). MR; magnetic resonance, NASCET; North American symptomatic carotid endarterectomy trial, MRI; MR imaging.

Figure 2.

(A) Two-month follow-up brain MRI showing recurrent cerebral infarction of right PCA and right MCA territories. (B) Subsequent brain MRI showing new infarctions in the left MCA and right PCA territories. (C) TEE revealing a 7 mm mobile ulcerative plaque at the greater curvature of the aortic arch. MRI; magnetic resonance imaging, PCA; posterior cerebral artery, MCA; middle cerebral artery, TEE; transesophageal echocardiography.

Figure 3.

(A) Additional MR angiography showing the improvement in the previously identified severe stenosis of the left ICA (red arrow) with bovine type aortic arch and brachiocephalic aneurysmal dilatation (white arrows). (B) Angiography imaging showing the debranching status (white arrow) and stent-grafting (red arrow) in the brachiocephalic artery aneurysm. (C) Computed tomography angiography demonstrating the complete revascularization following partial debranching surgery (left subclavian to left common carotid artery bypass) and endovascular stent-graft replacement in the brachiocephalic artery. MR; magnetic resonance, ICA; internal carotid artery.