J Korean Neurol Assoc > Volume 43(3); 2025 > Article
MOG항체 관련 질환에서 관찰된 삼차신경다리뇌징후
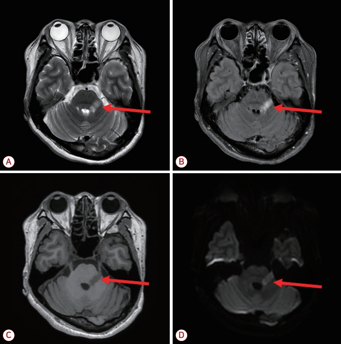
50세 여성 환자가 좌측 얼굴과 입술 저림이 발생한 지 일주일 만에 병원을 방문하였다. 증상은 어지러움, 메스꺼움, 구토를 동반하였다. 뇌 magnetic resonance imaging에서는 좌측 다리뇌(pons)에 T2 강조영상에서 선형 고신호강도를 보였으며 T1 강조영상에서는 저신호강도를 나타냈다. 특히 좌측 삼차신경을 따라 신호 변화가 관찰되었다. 해당 병변을 제외한 다른 부위에서는 다발경화증을 시사하는 T2 고신호 강도 병변은 관찰되지 않았다(Fig.). 뇌척수액 검사에서는 백혈구가 관찰되지 않았으며 올리고클론밴드, AQP4항체 및 바이러스 polymerase chain reaction 검사 결과도 음성이었다. 혈청 면역 형광 유세포 분석법을 통해 수초희소돌기아교세포당단백질(myelin oligodendrocyte glycoprotein, MOG)항체를 분석한 결과 fluorescein isothiocyanate 채널의 평균 형광 강도 비율(mean fluorescence intensity ratio, MFIr)이 3.63으로 확인되어 양성으로 판정되었다. 판정 기준은 다음과 같다: 음성, MFIr≤2.02, 경계 또는 약양성, 2.02<MFIr≤2.61, 양성, MFIr>2.61. 환자는 고용량 스테로이드 치료를 받았으며 증상이 호전되었다. 삼차신경다리뇌징후(trigeminal pontine sign)는 다발경화증에서 흔히 관찰되고 시신경척수염이나 바이러스 감염에서도 보일 수 있다[1,2]. 본 증례는 삼차신경다리뇌징후를 보이는 환자에서 MOG항체 관련 질환(myelin oligodendrocyte glycoprotein antibody-associated disease)이 감별 진단에 포함될 필요가 있음을 시사한다.

REFERENCES

1. Wang F, Abboud H. Teaching neuroimages: the trigeminal pontine sign: centripetal migration of herpes virus to the central nervous system. Neurology 2021;96:e1387-e1388.
pmid
2. Sugiyama A, Mori M, Masuda H, Uchida T, Muto M, Uzawa A, et al. Trigeminal root entry zone involvement in neuromyelitis optica and multiple sclerosis. J Neurol Sci 2015;355:147-149.
crossref pmid

Figure.
Brain MRI reveals a linear hyperintensity on axial T2-weighted (A) and fluid-attenuated inversion recovery (B), hypointensity on axial T1-weighted (C), and hyperintensity on axial diffusion-weighted imaging (D) in the left pons (red arrows), with peripheral diffusion restriction. Notably, signal changes are observed along the left trigeminal nerve (not shown). MRI; magnetic resonance imaging.
jkna-43-3-189f1.jpg


ABOUT
BROWSE ARTICLES
EDITORIAL POLICY
FOR CONTRIBUTORS
Editorial Office
(ZIP 03163) #1111, Daeil Bldg, 12, Insadong-gil, Jongno-gu, Seoul, Korea
Tel: +82-2-737-6530    Fax: +82-2-737-6531    E-mail: jkna@neuro.or.kr                

Copyright © 2026 by Korean Neurological Association.

Developed in M2PI

Close layer